Case ID: 764
Publication date: 18 Jan, 2016
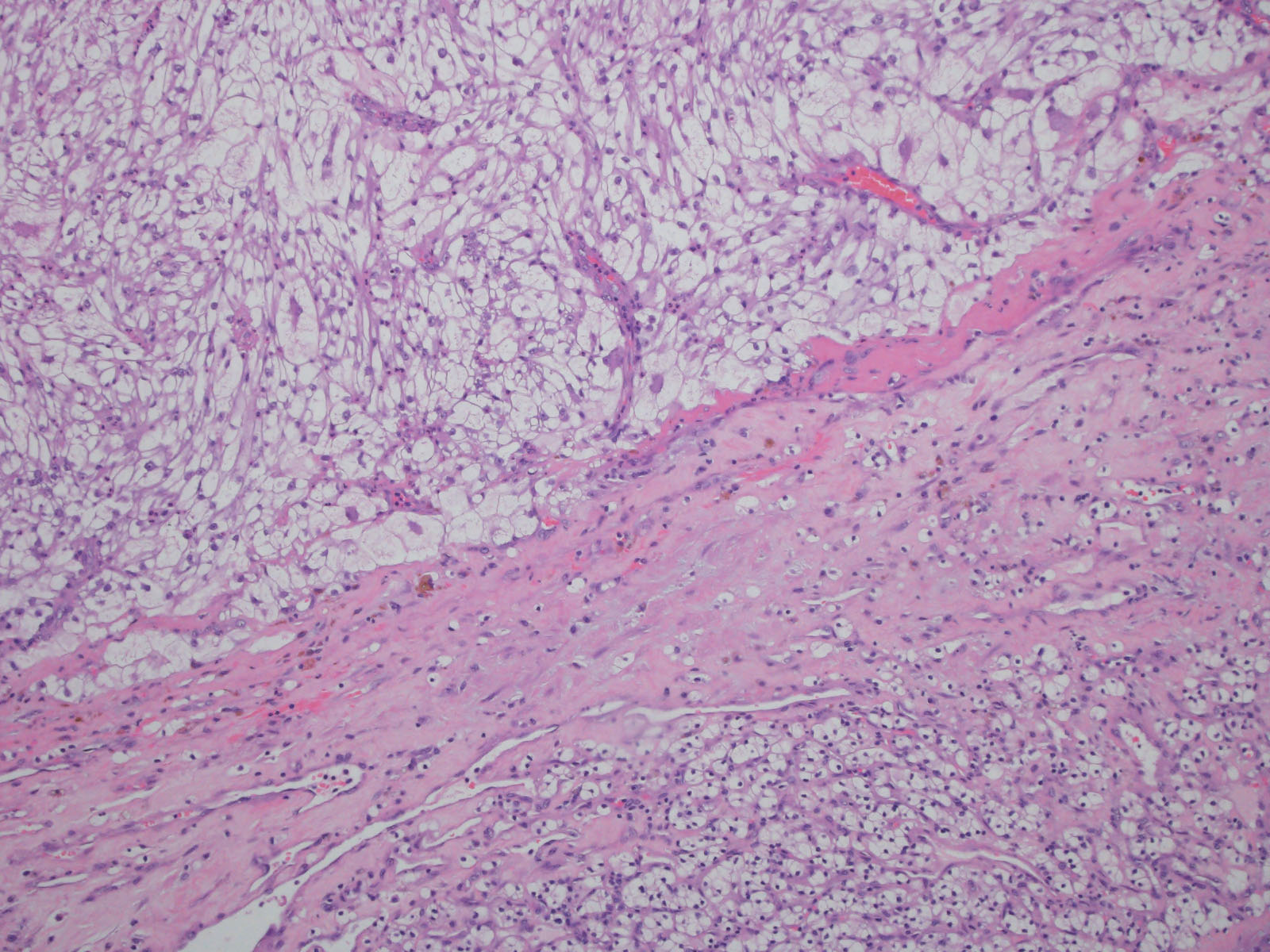
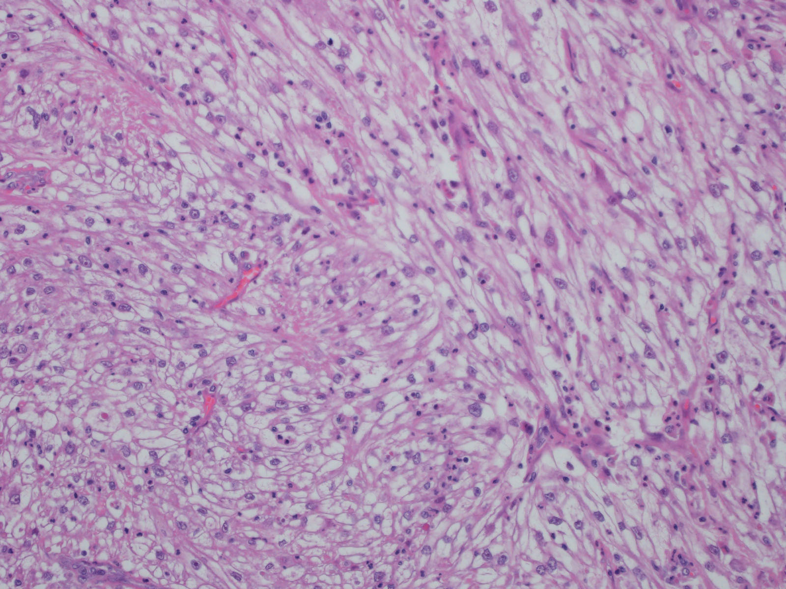
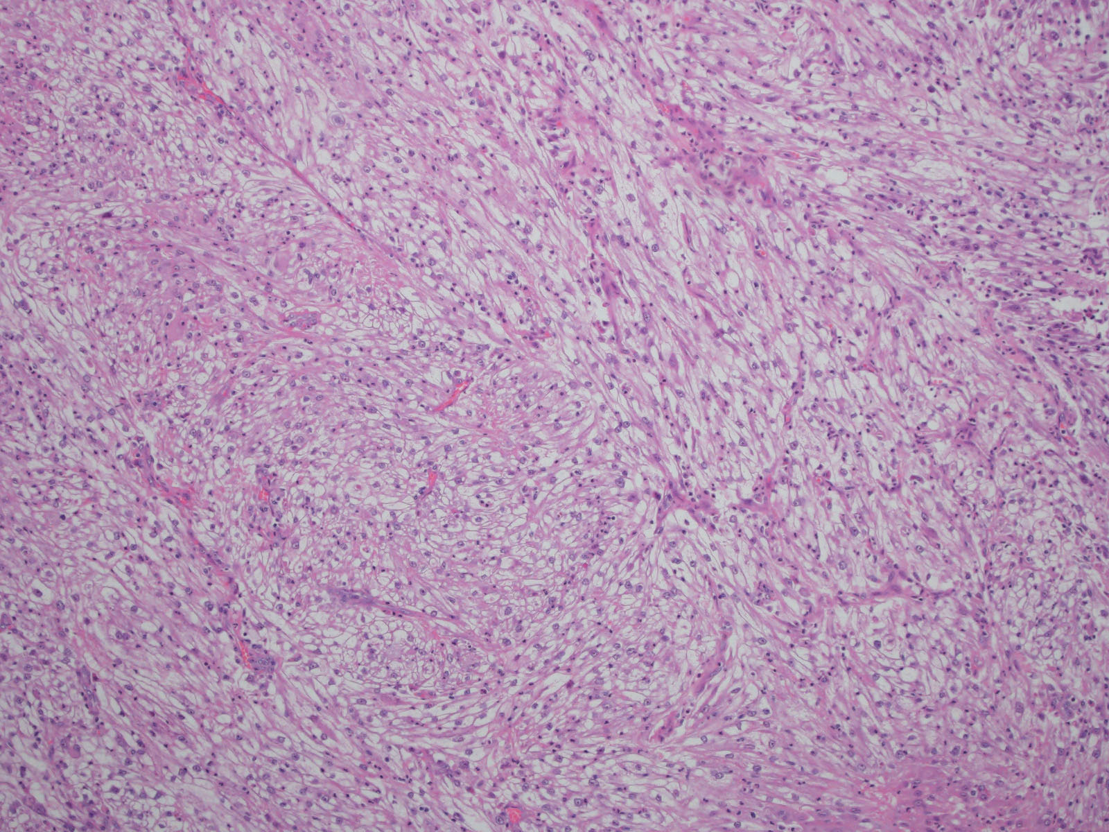
Consensus grade: Clear cell RCC
Show diagnosis by expert panel members| User | Diagnosis | Difficulty | Comment |
|---|---|---|---|
| Pathologist 1 | Clear cell RCC | Typical | |
| Pathologist 2 | Clear cell RCC | Typical | |
| Pathologist 3 | Renal cell carcinoma, unclassified | Not typical |
Could be a clear cell but not sure |
| Pathologist 4 | Clear cell RCC | Not typical | |
| Pathologist 5 | Clear cell RCC | Typical |
with sarcomatoid differentiation |
| Pathologist 6 | Clear cell RCC | Typical | |
| Pathologist 7 | Clear cell RCC | Typical |
sarcomatoid |
| Pathologist 8 | Clear cell RCC | Typical |
Sarcomatoid |
| Pathologist 9 | Insufficient tumor for diagnosis | Not typical | |
| Pathologist 10 | Clear cell RCC | Typical | |
| Pathologist 11 | Clear cell RCC | Not typical | |
| Pathologist 12 | Clear cell RCC | Not typical | |
| Pathologist 13 | Clear cell RCC | Not typical | |
| Pathologist 14 | Clear cell RCC | Not typical | |
| Pathologist 15 | Clear cell RCC | Typical | |
| Pathologist 16 | Clear cell RCC | Typical | |
| Pathologist 17 | Clear cell RCC | Not typical | |
| Pathologist 18 | Clear cell RCC | Not typical |
Case description (by case creator):
