Case ID: 320
Publication date: 29 Dec, 2015
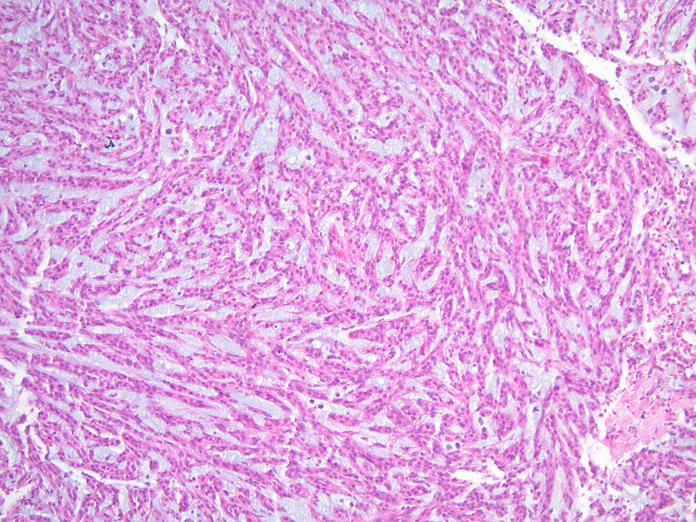
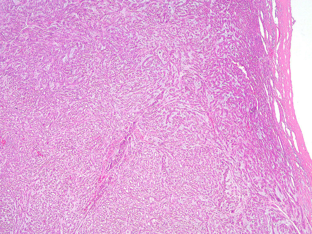
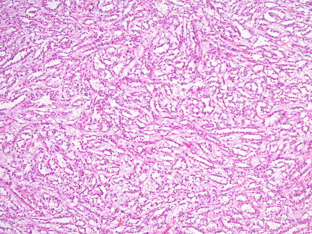
Consensus grade: Mucinous tubular and spindle cell carcinoma
Show diagnosis by expert panel members| User | Diagnosis | Difficulty | Comment |
|---|---|---|---|
| Pathologist 1 | Mucinous tubular and spindle cell carcinoma | Typical | |
| Pathologist 2 | Mucinous tubular and spindle cell carcinoma | Typical | |
| Pathologist 3 | Mucinous tubular and spindle cell carcinoma | Typical | |
| Pathologist 4 | Mucinous tubular and spindle cell carcinoma | Typical | |
| Pathologist 5 | Mucinous tubular and spindle cell carcinoma | Typical | |
| Pathologist 6 | Papillary RCC (Type 1) | Not typical |
Could also be MTSCC |
| Pathologist 7 | Mucinous tubular and spindle cell carcinoma | Typical | |
| Pathologist 8 | Mucinous tubular and spindle cell carcinoma | Typical | |
| Pathologist 9 | Mucinous tubular and spindle cell carcinoma | Typical | |
| Pathologist 10 | Mucinous tubular and spindle cell carcinoma | Typical | |
| Pathologist 11 | Mucinous tubular and spindle cell carcinoma | Typical | |
| Pathologist 12 | Mucinous tubular and spindle cell carcinoma | Typical | |
| Pathologist 13 | Mucinous tubular and spindle cell carcinoma | Typical | |
| Pathologist 14 | Mucinous tubular and spindle cell carcinoma | Typical | |
| Pathologist 15 | Mucinous tubular and spindle cell carcinoma | Typical | |
| Pathologist 16 | Mucinous tubular and spindle cell carcinoma | Typical | |
| Pathologist 17 | Mucinous tubular and spindle cell carcinoma | Typical |
Case description (by case creator):
Renal mass- 52 year old man
