Case ID: 332
Publication date: 29 Dec, 2015
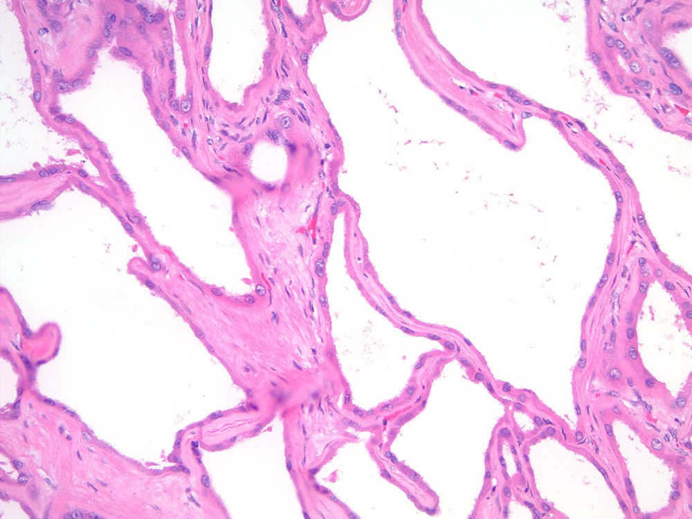
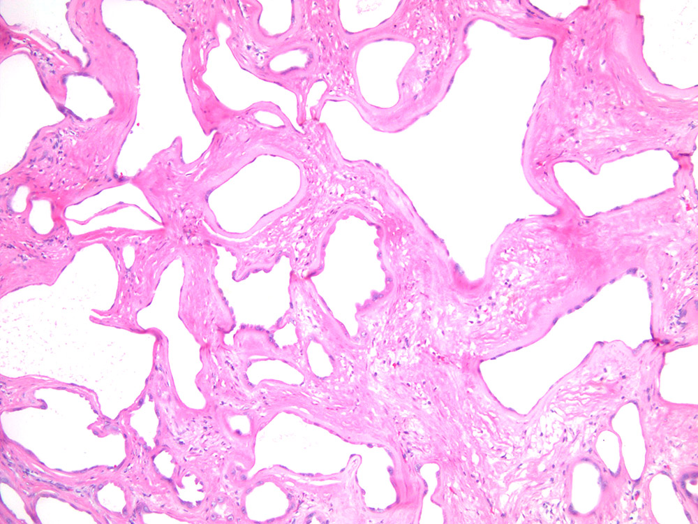
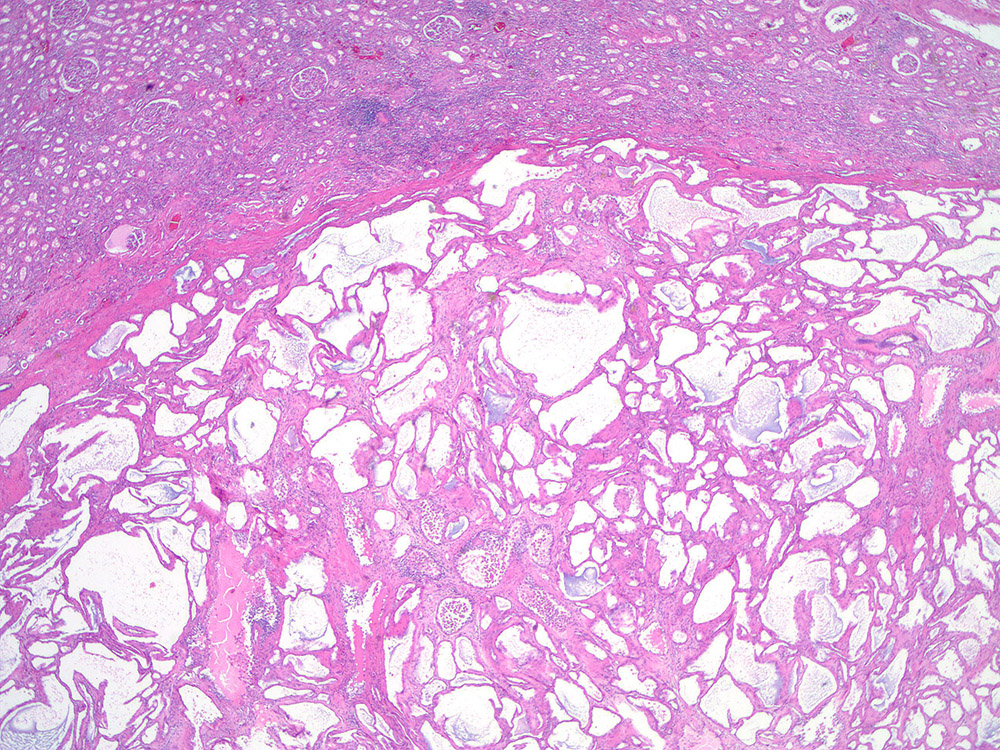
Consensus grade: Tubulocystic RCC
Show diagnosis by expert panel members| User | Diagnosis | Difficulty | Comment |
|---|---|---|---|
| Pathologist 1 | Tubulocystic RCC | Typical | |
| Pathologist 2 | Tubulocystic RCC | Typical | |
| Pathologist 3 | Tubulocystic RCC | Typical | |
| Pathologist 4 | Tubulocystic RCC | Typical | |
| Pathologist 5 | Tubulocystic RCC | Typical | |
| Pathologist 6 | Tubulocystic RCC | Typical | |
| Pathologist 7 | Tubulocystic RCC | Typical | |
| Pathologist 8 | Tubulocystic RCC | Typical | |
| Pathologist 9 | Tubulocystic RCC | Not typical |
I would consider also MESTK (would search for any Mullerian structures) |
| Pathologist 10 | Tubulocystic RCC | Typical | |
| Pathologist 11 | Tubulocystic RCC | Typical | |
| Pathologist 12 | Tubulocystic RCC | Not typical |
I would consider the diagnosis of cystic nephroma |
| Pathologist 13 | Tubulocystic RCC | Typical | |
| Pathologist 14 | Tubulocystic RCC | Typical | |
| Pathologist 15 | Tubulocystic RCC | Typical | |
| Pathologist 16 | Tubulocystic RCC | Typical | |
| Pathologist 17 | Tubulocystic RCC | Not typical | |
| Pathologist 18 | Tubulocystic RCC | Typical |
Case description (by case creator):
Renal mass- 62 year old woman
