Case ID: 213
Publication date: 20 Dec, 2015
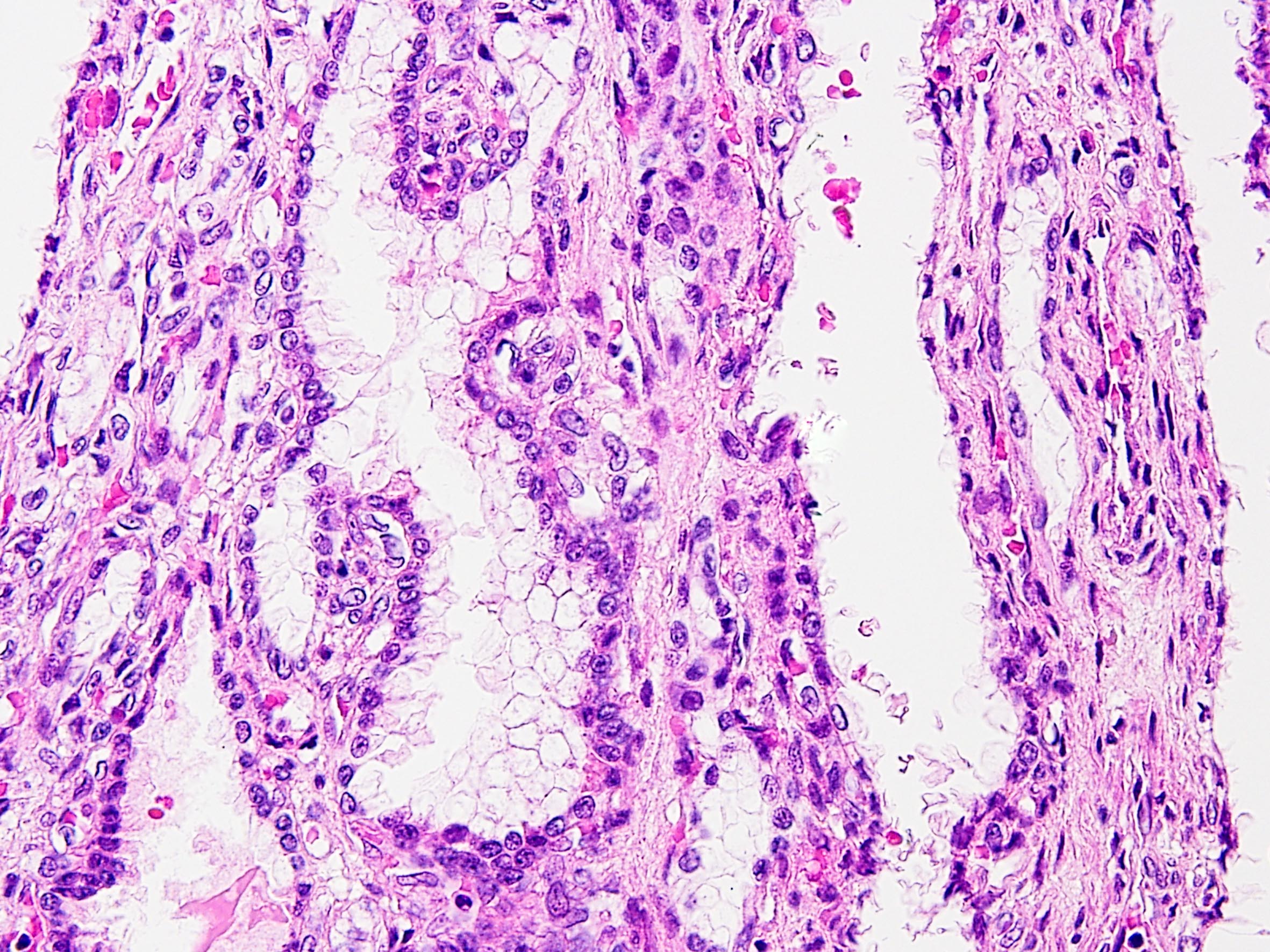
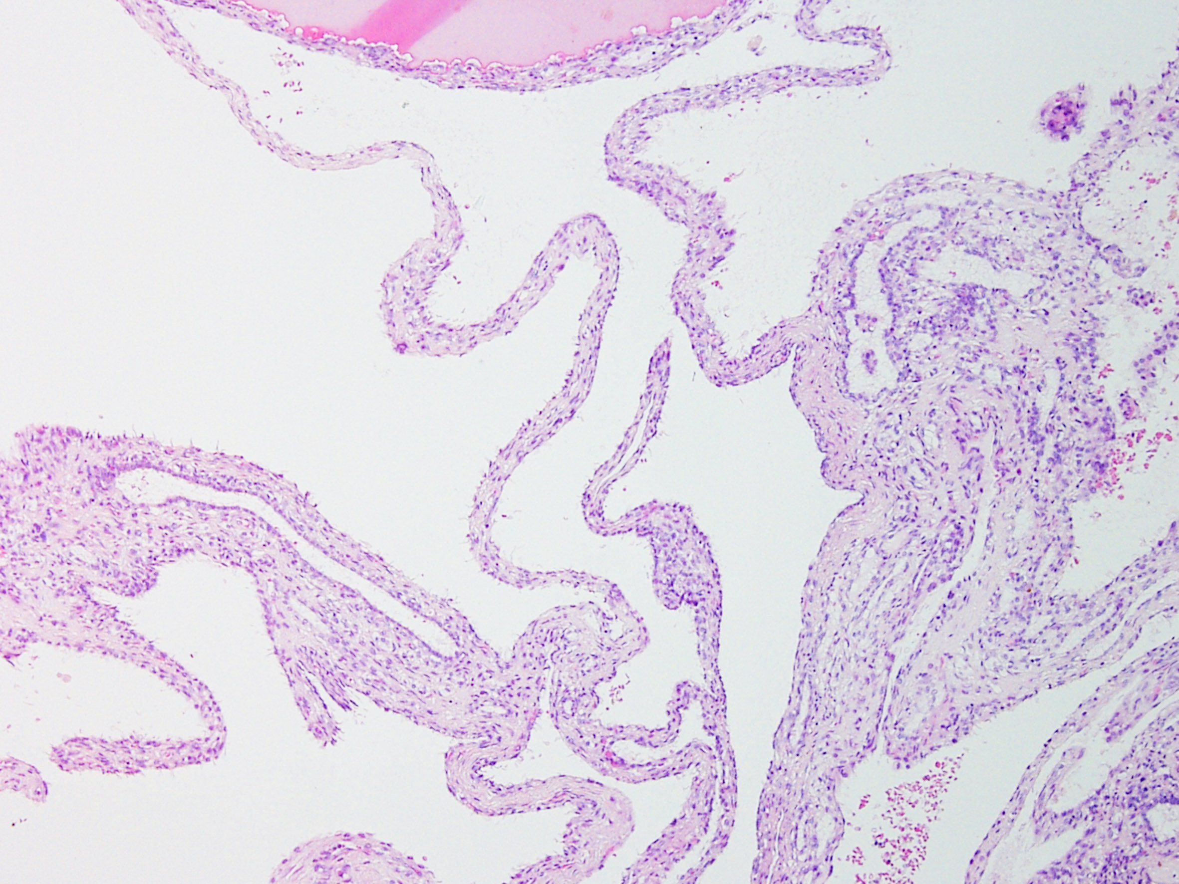
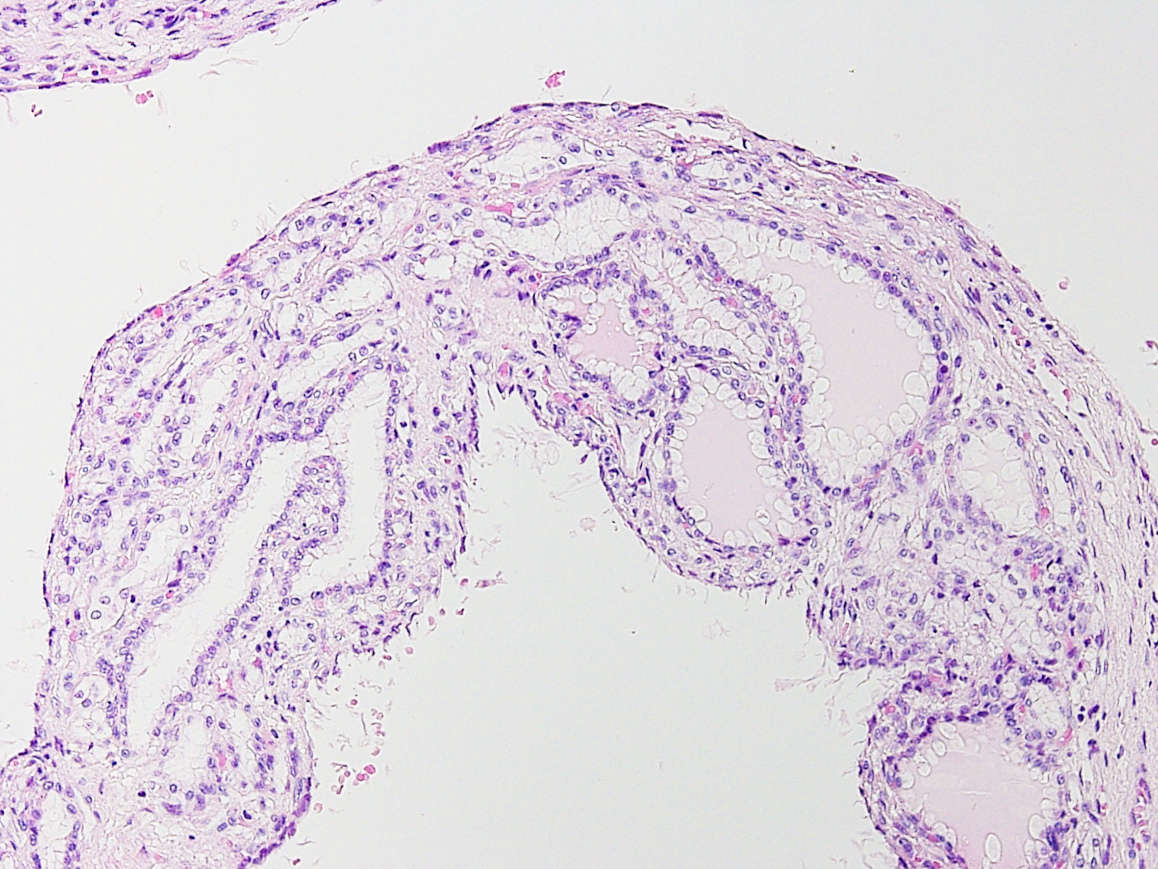
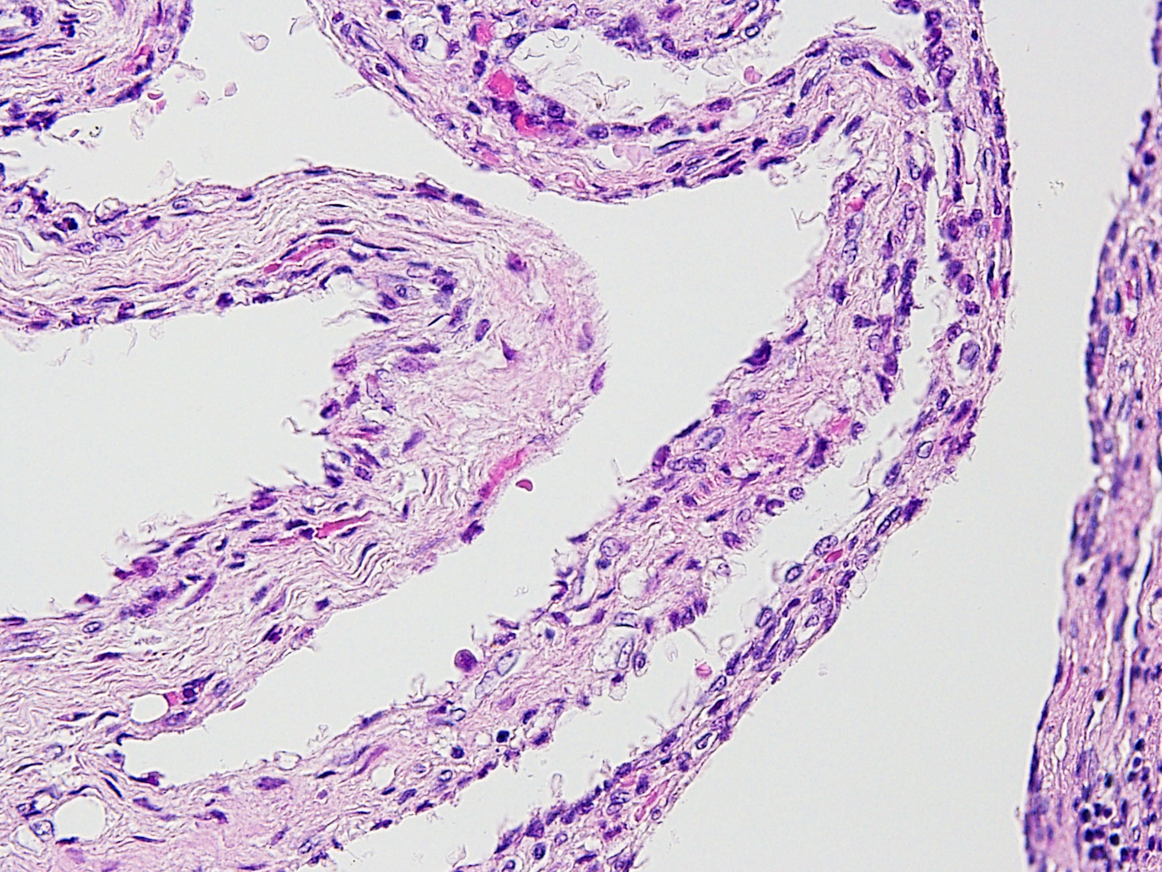
Consensus grade: Multilocular cystic renal neoplasm of low malignant potential
Show diagnosis by expert panel members| User | Diagnosis | Difficulty | Comment |
|---|---|---|---|
| Pathologist 1 | Multilocular cystic renal neoplasm of low malignant potential | Not typical | |
| Pathologist 2 | Multilocular cystic renal neoplasm of low malignant potential | Not typical | |
| Pathologist 3 | Multilocular cystic renal neoplasm of low malignant potential | Typical |
over photo shopped |
| Pathologist 4 | Multilocular cystic renal neoplasm of low malignant potential | Not typical | |
| Pathologist 5 | Multilocular cystic renal neoplasm of low malignant potential | Typical | |
| Pathologist 6 | Multilocular cystic renal neoplasm of low malignant potential | Typical | |
| Pathologist 7 | Clear cell tubulopapillary RCC | Not typical | |
| Pathologist 8 | Other | Not typical | |
| Pathologist 9 | Multilocular cystic renal neoplasm of low malignant potential | Typical | |
| Pathologist 10 | Multilocular cystic renal neoplasm of low malignant potential | Typical |
just see focally features of clear cell papillary RCC (last slide) but the overall appearance is multilocular cystic renal neoplasm...... |
| Pathologist 11 | Multilocular cystic renal neoplasm of low malignant potential | Typical | |
| Pathologist 12 | Multilocular cystic renal neoplasm of low malignant potential | Not typical | |
| Pathologist 13 | Multilocular cystic renal neoplasm of low malignant potential | Typical | |
| Pathologist 14 | Multilocular cystic renal neoplasm of low malignant potential | Typical | |
| Pathologist 15 | Clear cell tubulopapillary RCC | Not typical | |
| Pathologist 16 | Multilocular cystic renal neoplasm of low malignant potential | Typical | |
| Pathologist 17 | Multilocular cystic renal neoplasm of low malignant potential | Not typical |
vs clear cell-papillary |
| Pathologist 18 | Multilocular cystic renal neoplasm of low malignant potential | Typical | |
| Pathologist 19 | Multilocular cystic renal neoplasm of low malignant potential | Typical |
Case description (by case creator):
Multilocular cystic renal neoplasm of low malignant potential
