Case ID: 177
Publication date: 20 Dec, 2015
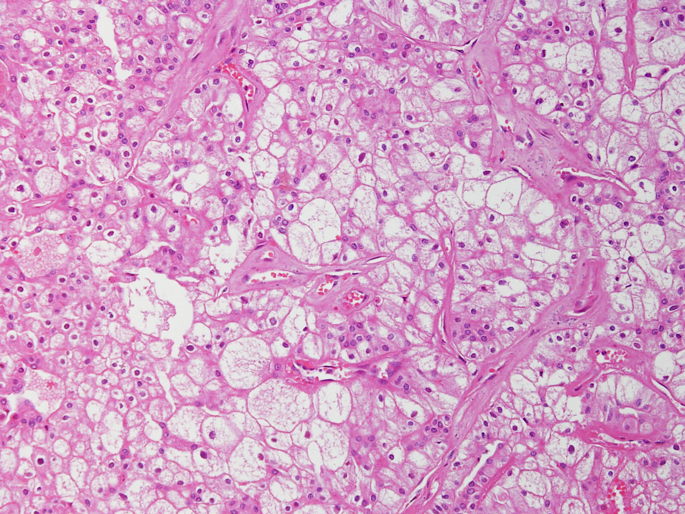
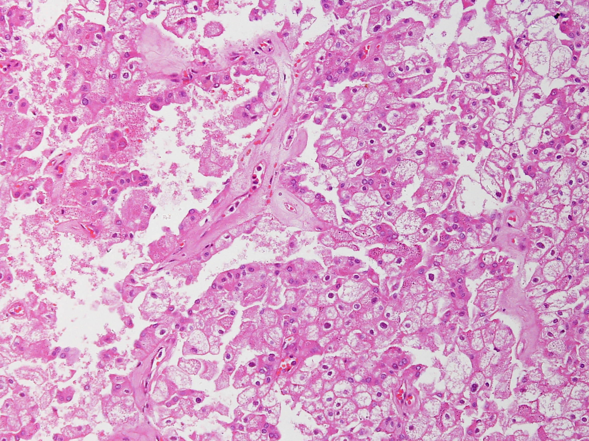
Consensus grade: Chromophobe RCC
Show diagnosis by expert panel members| User | Diagnosis | Difficulty | Comment |
|---|---|---|---|
| Pathologist 1 | Chromophobe RCC | Typical |
borderline image quality |
| Pathologist 2 | Chromophobe RCC | Typical | |
| Pathologist 3 | Chromophobe RCC | Typical | |
| Pathologist 4 | MiT Family translocation carcinoma | Typical | |
| Pathologist 5 | Chromophobe RCC | Typical | |
| Pathologist 6 | Chromophobe RCC | Typical | |
| Pathologist 7 | Chromophobe RCC | Typical | |
| Pathologist 8 | Chromophobe RCC | Typical | |
| Pathologist 9 | Chromophobe RCC | Typical | |
| Pathologist 10 | Chromophobe RCC | Typical | |
| Pathologist 11 | Chromophobe RCC | Typical | |
| Pathologist 12 | Chromophobe RCC | Typical | |
| Pathologist 13 | Chromophobe RCC | Typical | |
| Pathologist 14 | Chromophobe RCC | Typical | |
| Pathologist 15 | Chromophobe RCC | Typical | |
| Pathologist 16 | Chromophobe RCC | Typical | |
| Pathologist 17 | Chromophobe RCC | Typical |
Case description (by case creator):
Chromophobe renal cell carcinoma
