Case ID: 156
Publication date: 20 Dec, 2015
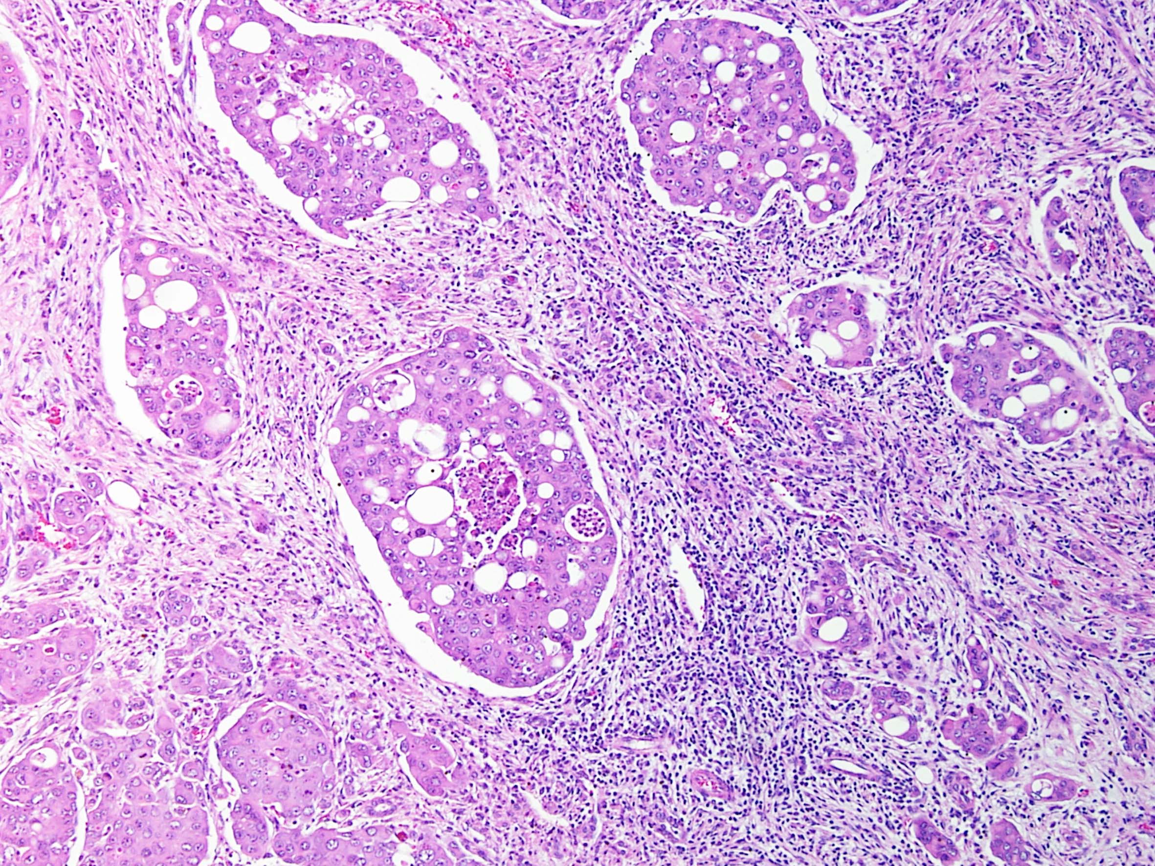
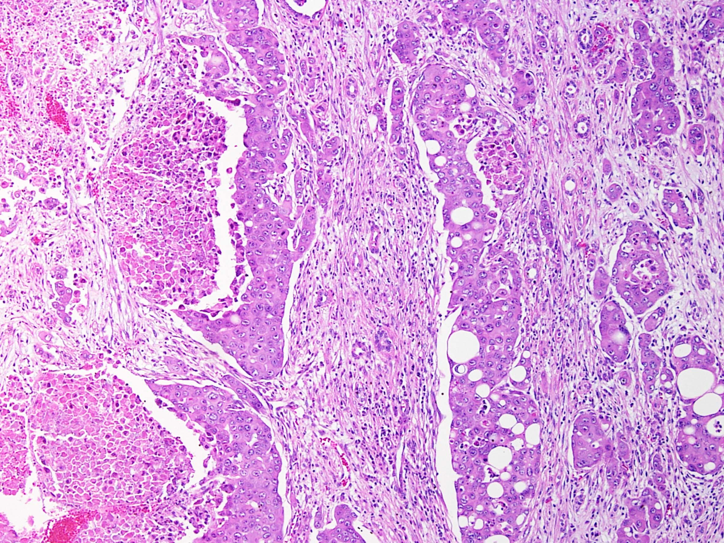
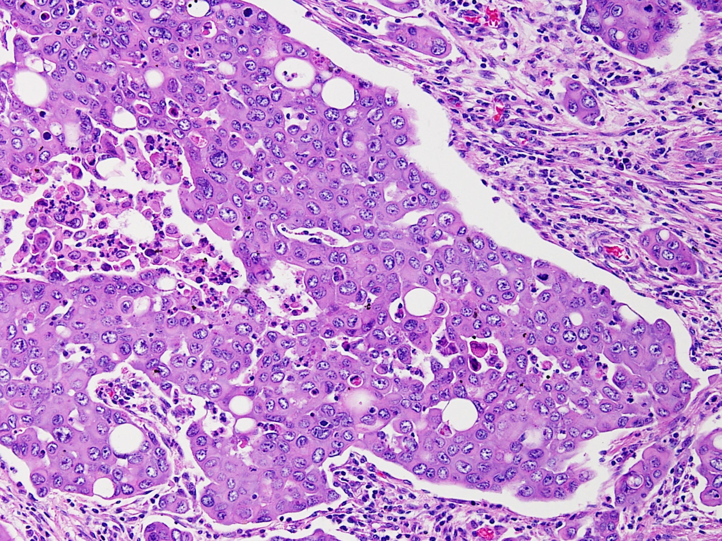
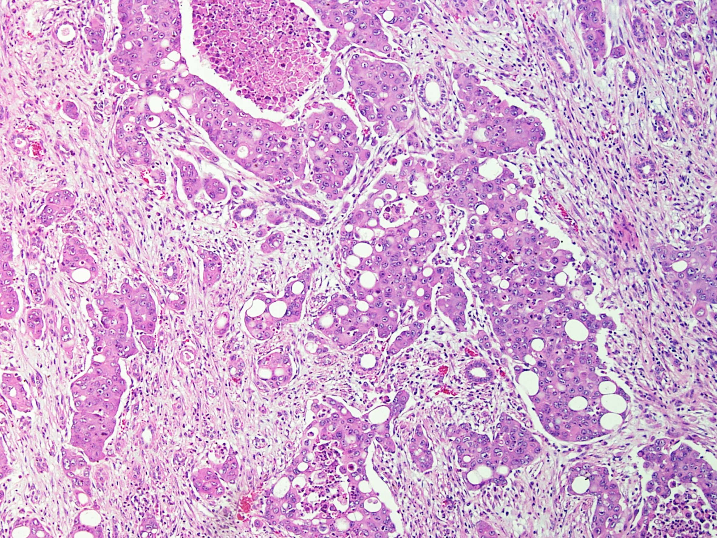
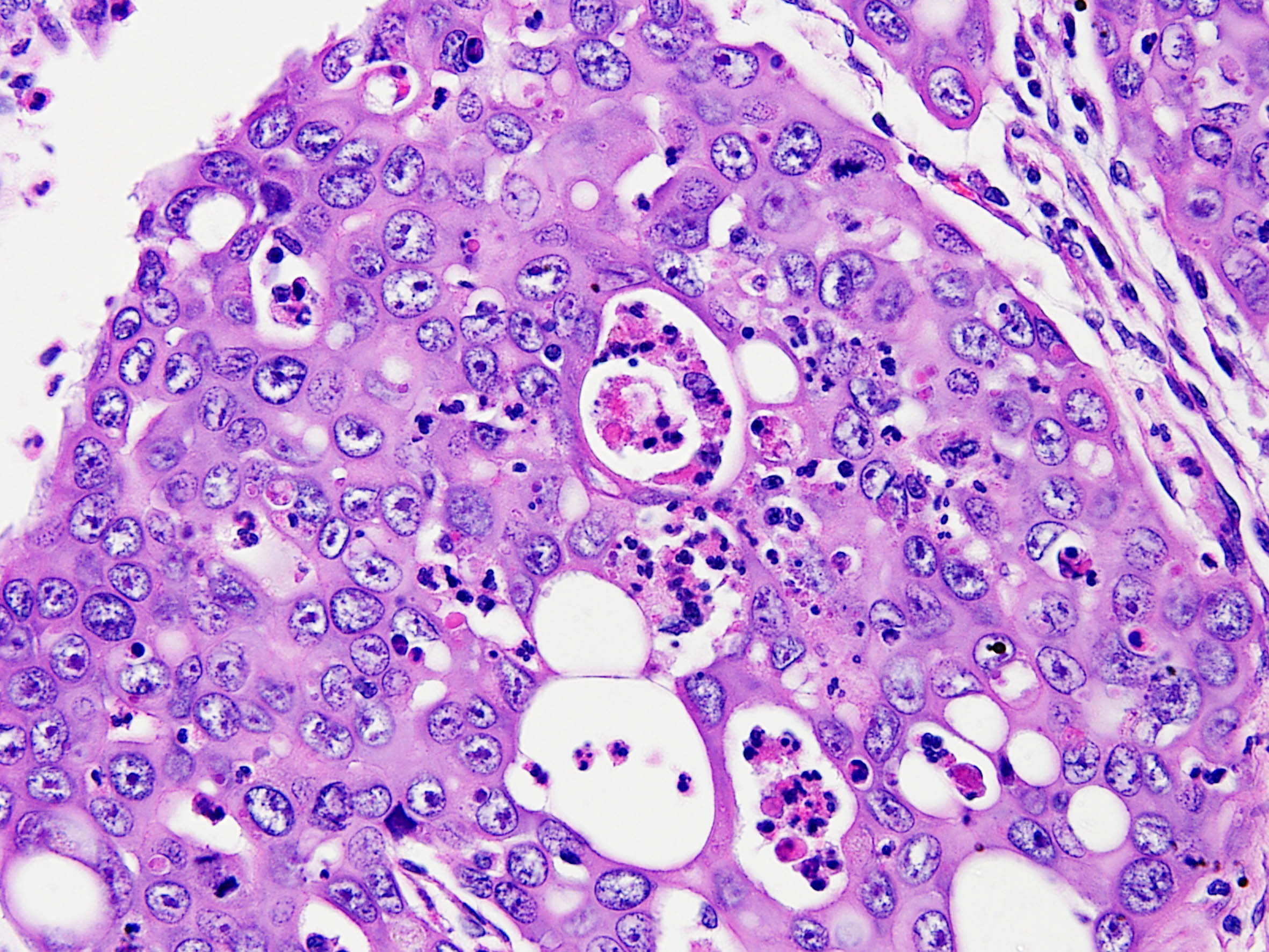
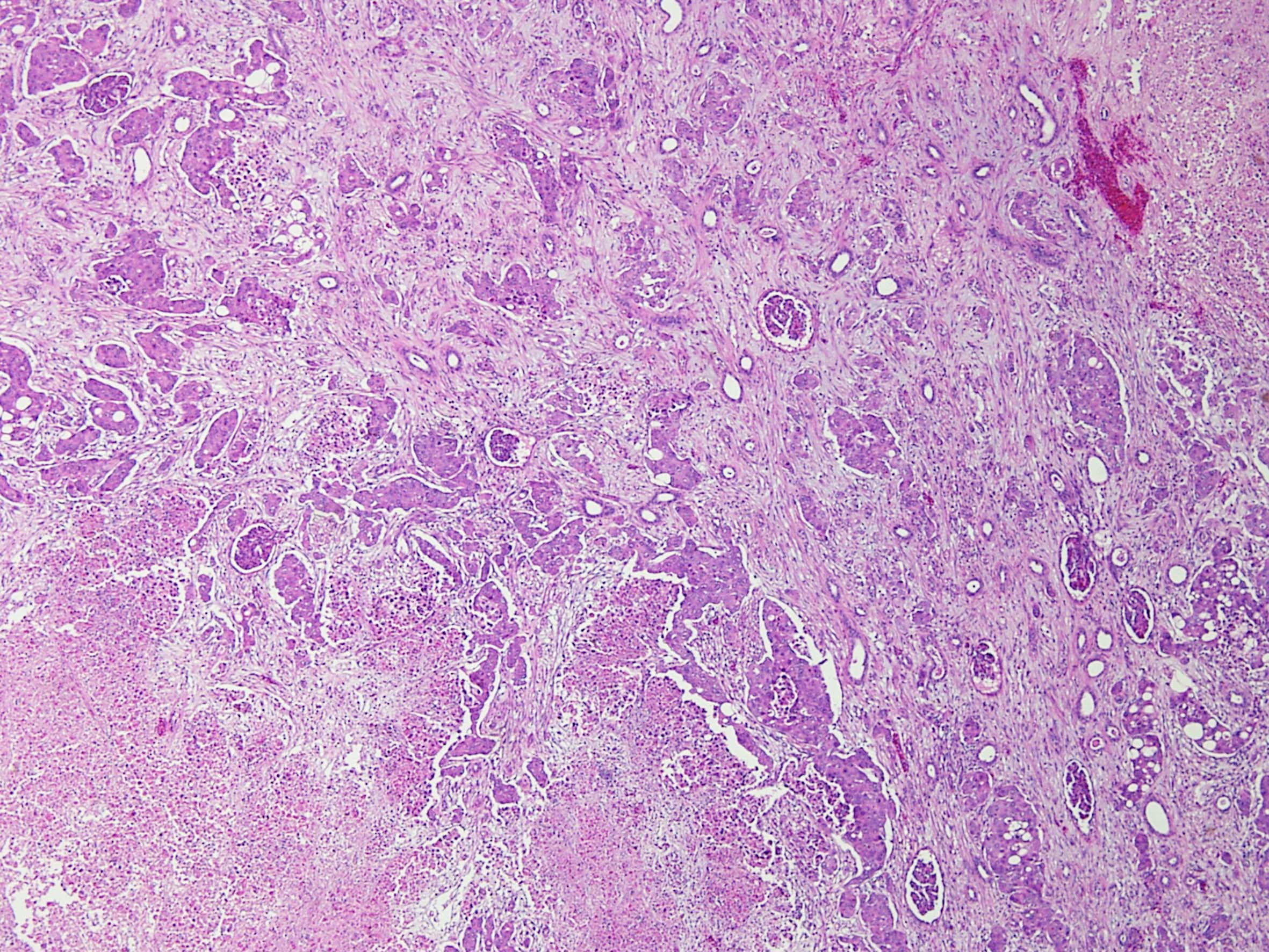
Consensus grade: Renal Medullary carcinoma
Show diagnosis by expert panel members| User | Diagnosis | Difficulty | Comment |
|---|---|---|---|
| Pathologist 1 | Renal Medullary carcinoma | Typical | |
| Pathologist 2 | Renal Medullary carcinoma | Typical | |
| Pathologist 3 | Collecting duct carcinoma | Typical | |
| Pathologist 4 | Renal cell carcinoma, unclassified | Not typical | |
| Pathologist 5 | Renal Medullary carcinoma | Not typical | |
| Pathologist 6 | Renal cell carcinoma, unclassified | Not typical |
Favor medullary ca |
| Pathologist 7 | Renal Medullary carcinoma | Not typical |
Would want to have hemoglobin electrophoresis |
| Pathologist 8 | Renal Medullary carcinoma | Typical | |
| Pathologist 9 | Collecting duct carcinoma | Not typical |
Urothelial carcinoma would be considered |
| Pathologist 10 | Other | Not typical | |
| Pathologist 11 | Renal Medullary carcinoma | Typical | |
| Pathologist 12 | Renal Medullary carcinoma | Typical | |
| Pathologist 13 | Renal Medullary carcinoma | Typical | |
| Pathologist 14 | Collecting duct carcinoma | Not typical |
I would very carefully rule out TCC |
| Pathologist 15 | Renal Medullary carcinoma | Not typical |
otherwise urothelial carcinoma? |
| Pathologist 16 | Renal Medullary carcinoma | Not typical | |
| Pathologist 17 | Renal Medullary carcinoma | Typical | |
| Pathologist 18 | Renal Medullary carcinoma | Typical | |
| Pathologist 19 | Renal Medullary carcinoma | Typical |
vs collecting duct |
| Pathologist 20 | Renal Medullary carcinoma | Typical | |
| Pathologist 21 | Renal Medullary carcinoma | Typical | |
| Pathologist 22 | Renal Medullary carcinoma | Typical |
Case description (by case creator):
Renal medullary carcinoma
