Pathology
Imagebase
Classification of renal tumors
Toggle navigation
FAQ
Cases
<< Back to overview
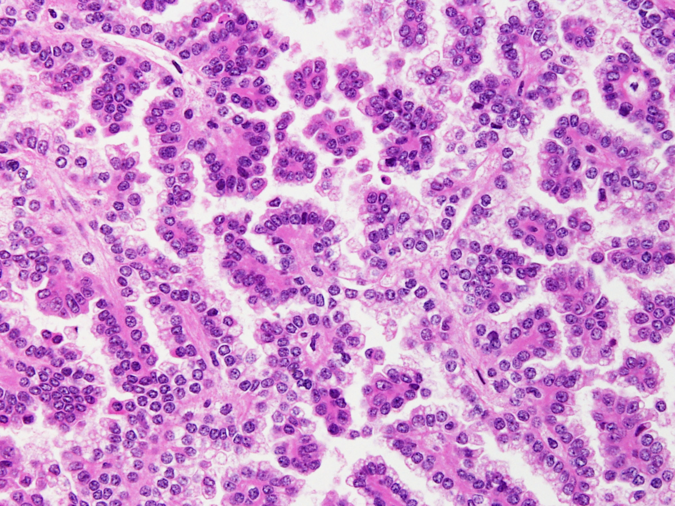
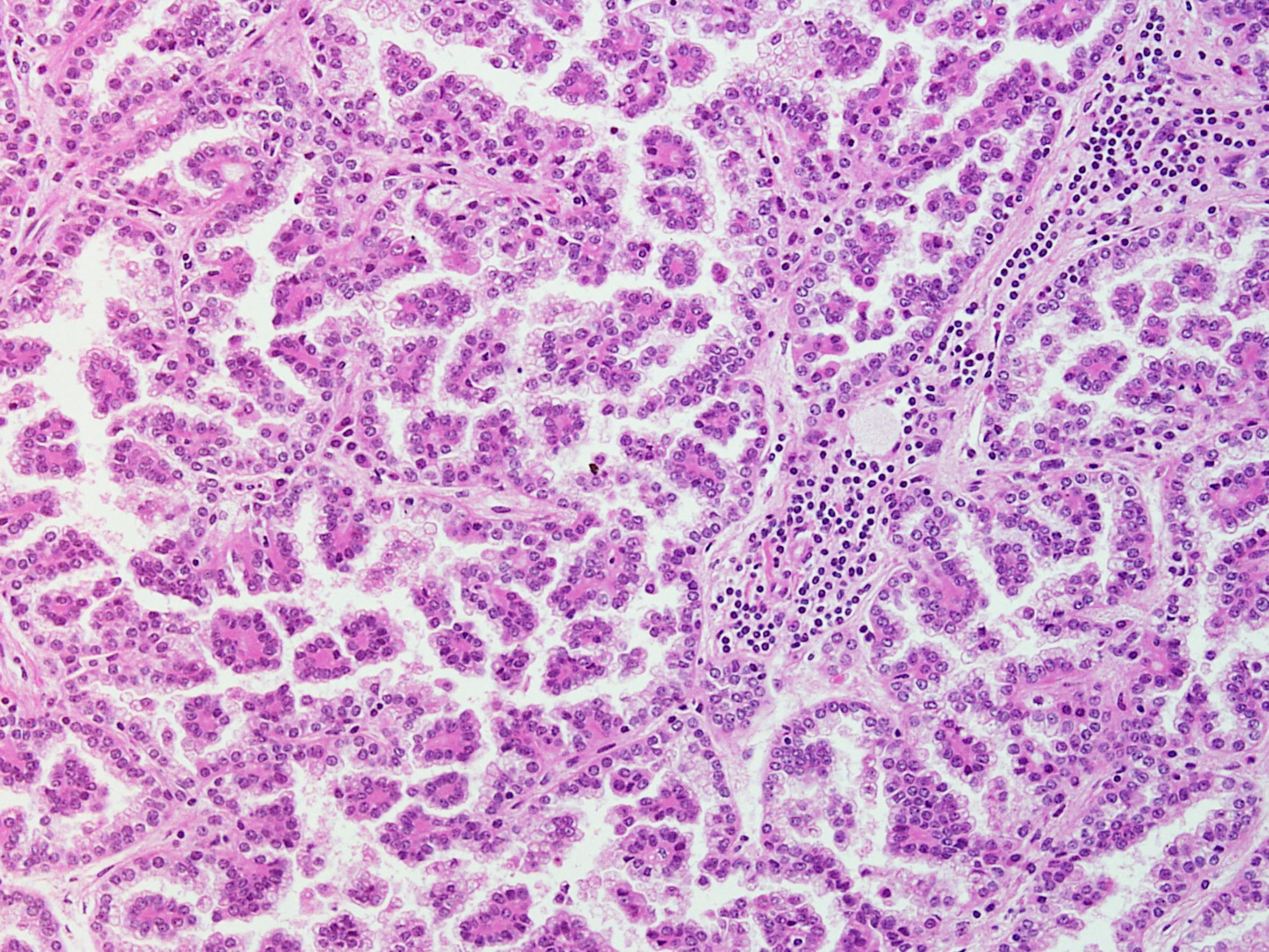
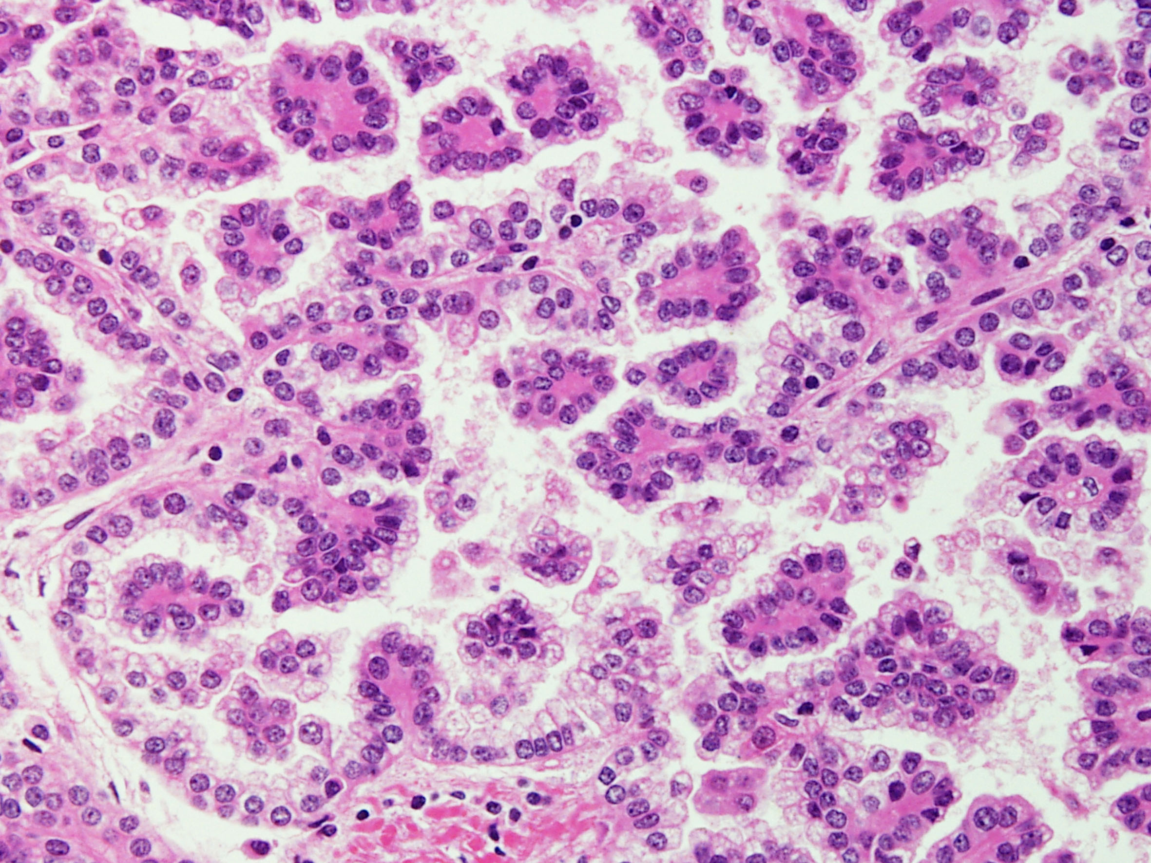
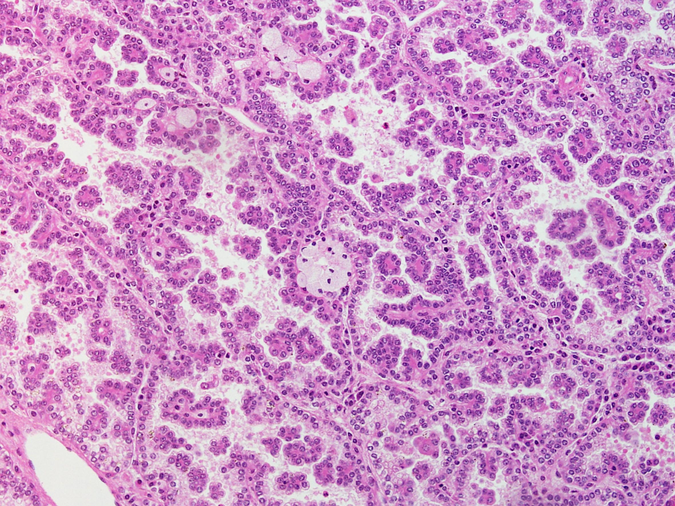
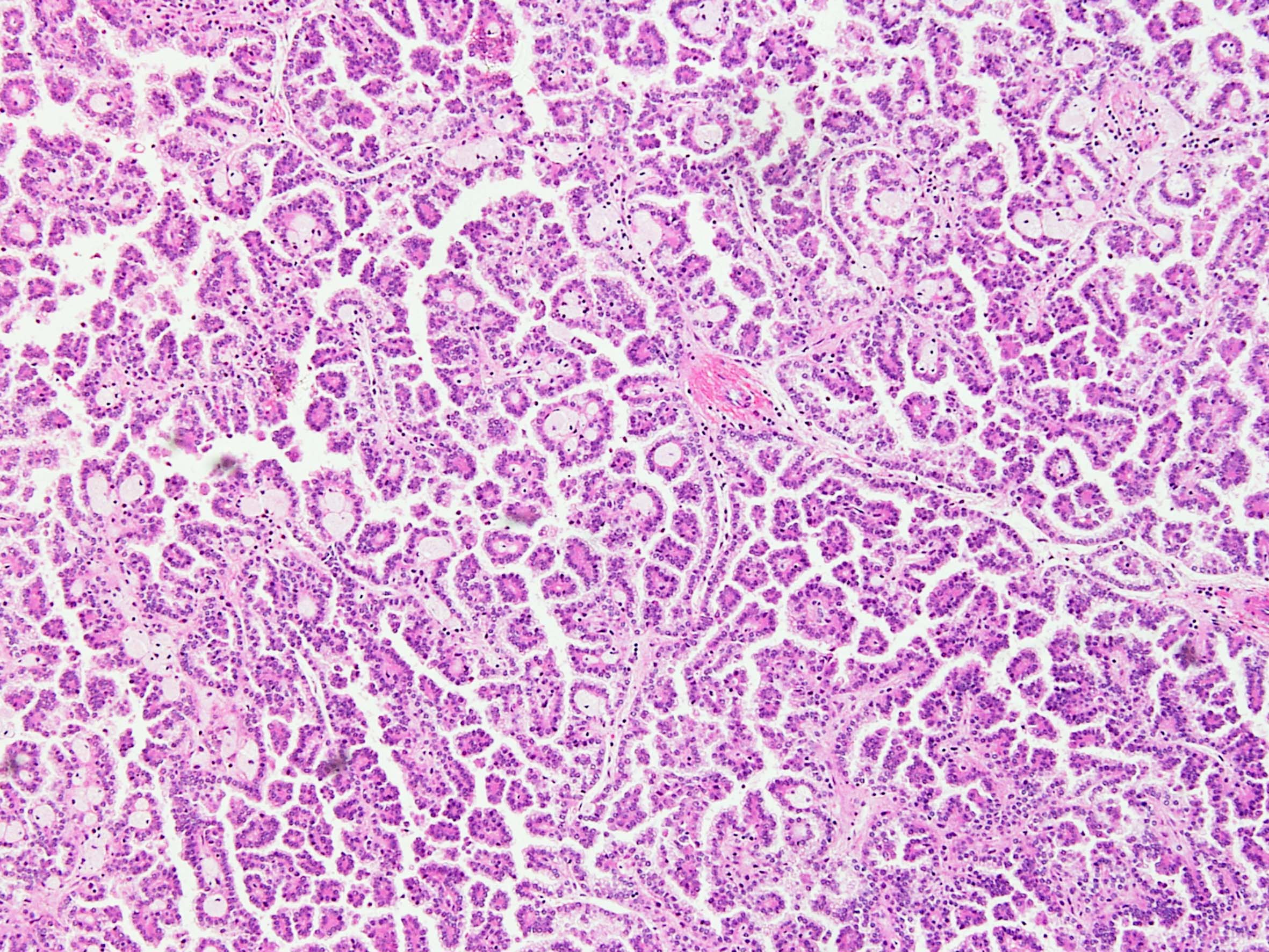
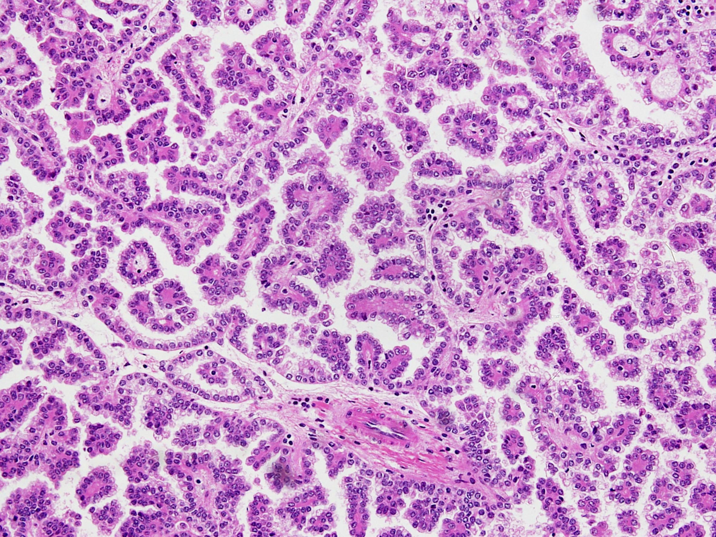
Case ID: 148
Publication date:
20 Dec, 2015
Enter your grading and compare to the grading of the panel group
- Select -
Clear cell RCC
Multilocular cystic renal neoplasm of low malignant potential
Papillary RCC (Type 1)
Papillary RCC (Type 2)
Oncocytic papillary RCC
Hereditary leiomyomatosis and RCC-associated RCC
Chromophobe RCC
Collecting duct carcinoma
Renal Medullary carcinoma
MiT Family translocation carcinoma
Succinate dehydrogenase deficient renal carcinoma
Mucinous tubular and spindle cell carcinoma
Acquired cystic disease-associated RCC
Tubulocystic RCC
Clear cell tubulopapillary RCC
Oncocytic RCC post-neuroblastoma
Thyroid-like follicular RCC
ALK arrangement-associated RCC
Renal cell carcinoma with leiomyomatous stroma
Renal cell carcinoma, unclassified
Renal adenoma
oncocytoma
Insufficient tumor for diagnosis
Other
Evaluate