Case ID: 133
Publication date: 15 Dec, 2015
Consensus grade: Other
Show diagnosis by expert panel members| User | Diagnosis | Difficulty | Comment |
|---|---|---|---|
| Pathologist 1 | Other | Typical |
Metanephric adenoma |
| Pathologist 2 | Other | Not typical |
Metanephric adenoma |
| Pathologist 3 | Other | Not typical |
metanephric adenoma versus papillary RCC type 1 |
| Pathologist 4 | Other | Typical |
Metanephric adanoma |
| Pathologist 5 | Renal adenoma | Not typical | |
| Pathologist 6 | Other | Typical |
MA - but over photo shopped |
| Pathologist 7 | Other | Typical | |
| Pathologist 8 | Renal adenoma | Typical |
Metanephric adenoma |
| Pathologist 9 | Other | Typical | |
| Pathologist 10 | Other | Typical | |
| Pathologist 11 | Other | Typical | |
| Pathologist 12 | Other | Typical | |
| Pathologist 13 | Other | Typical |
Metanephric adenoma |
| Pathologist 14 | Other | Not typical |
just briefly would consider Wilms tumor in dif dg |
| Pathologist 15 | Renal adenoma | Typical |
metanephric |
| Pathologist 16 | Other | Typical |
metanephric adenoma |
| Pathologist 17 | Other | Not typical |
rule out metaphoric adenoma |
| Pathologist 18 | Renal adenoma | Not typical |
Metanephric adenoma |
| Pathologist 19 | Renal adenoma | Typical | |
| Pathologist 20 | Other | Typical | |
| Pathologist 21 | Renal adenoma | Typical | |
| Pathologist 22 | Other | Typical |
Metanephric adenoma |
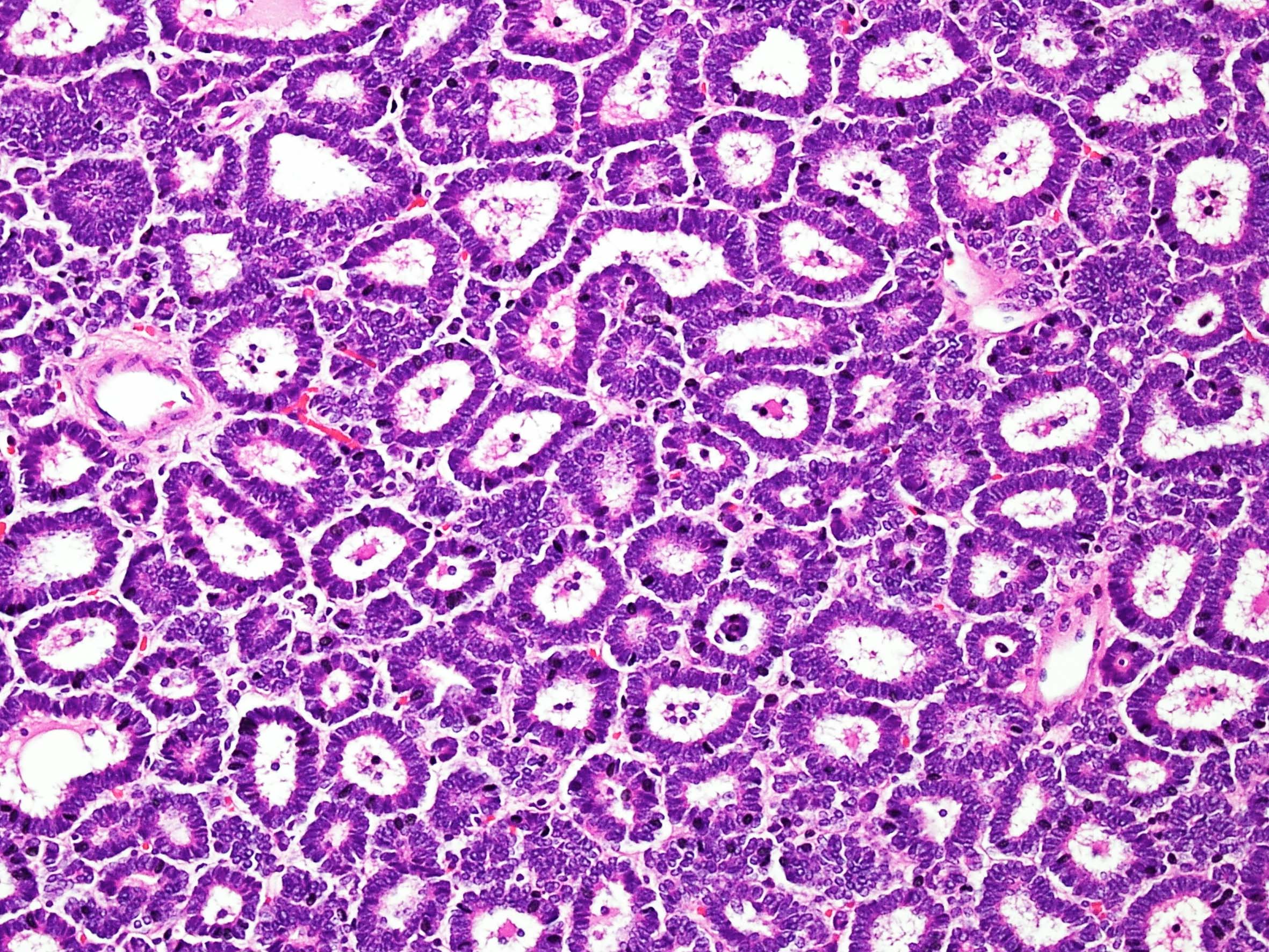
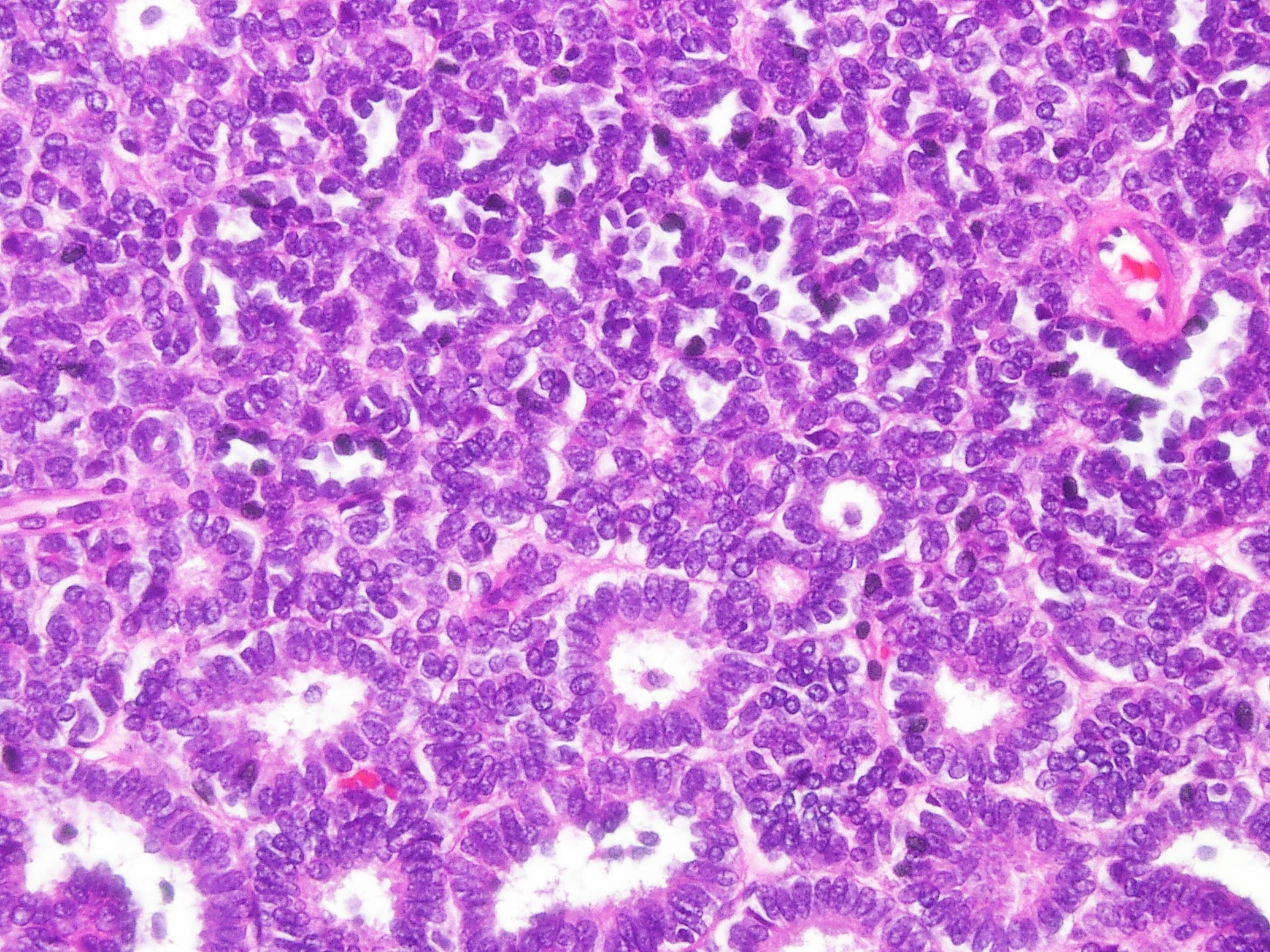
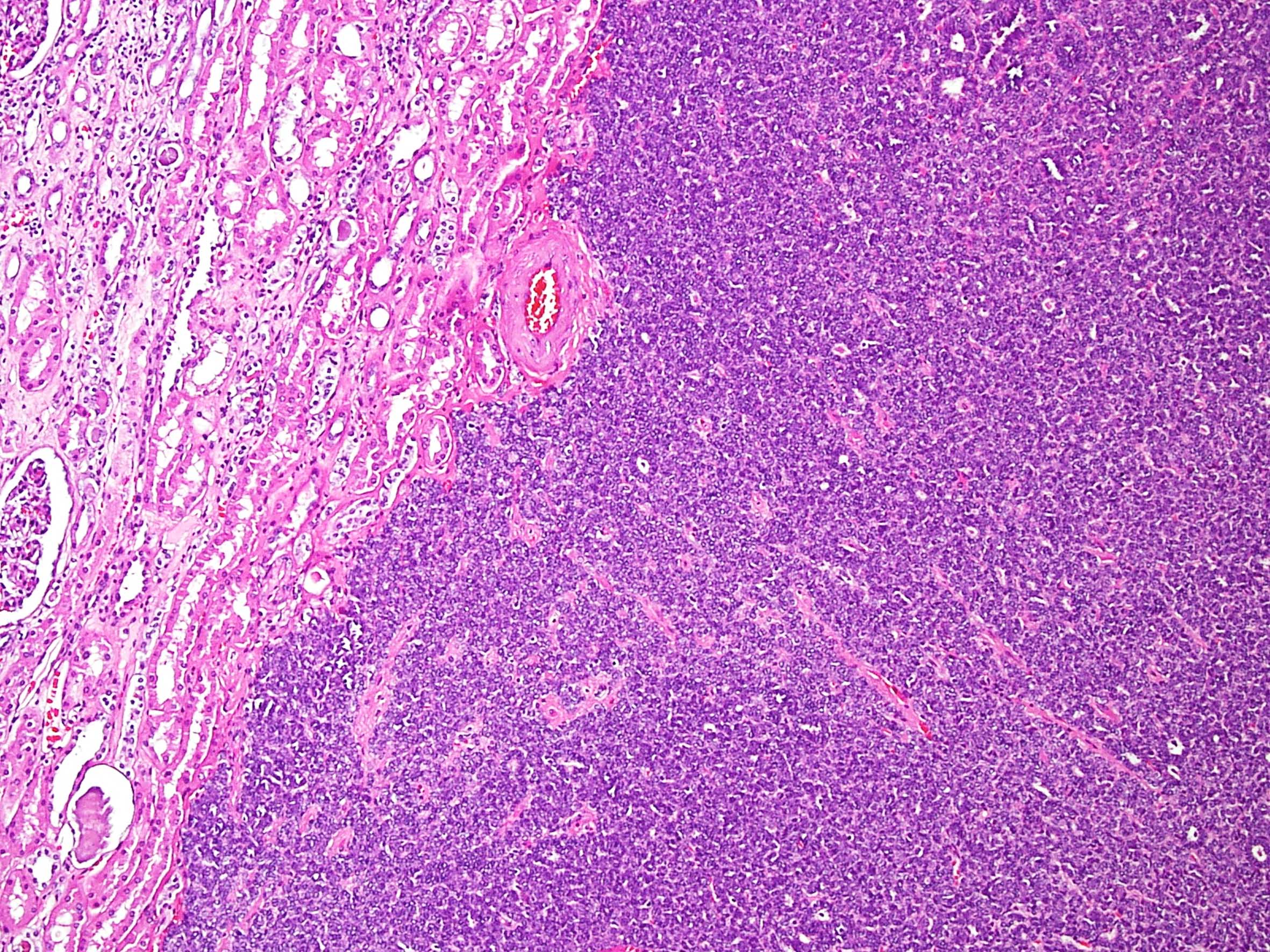
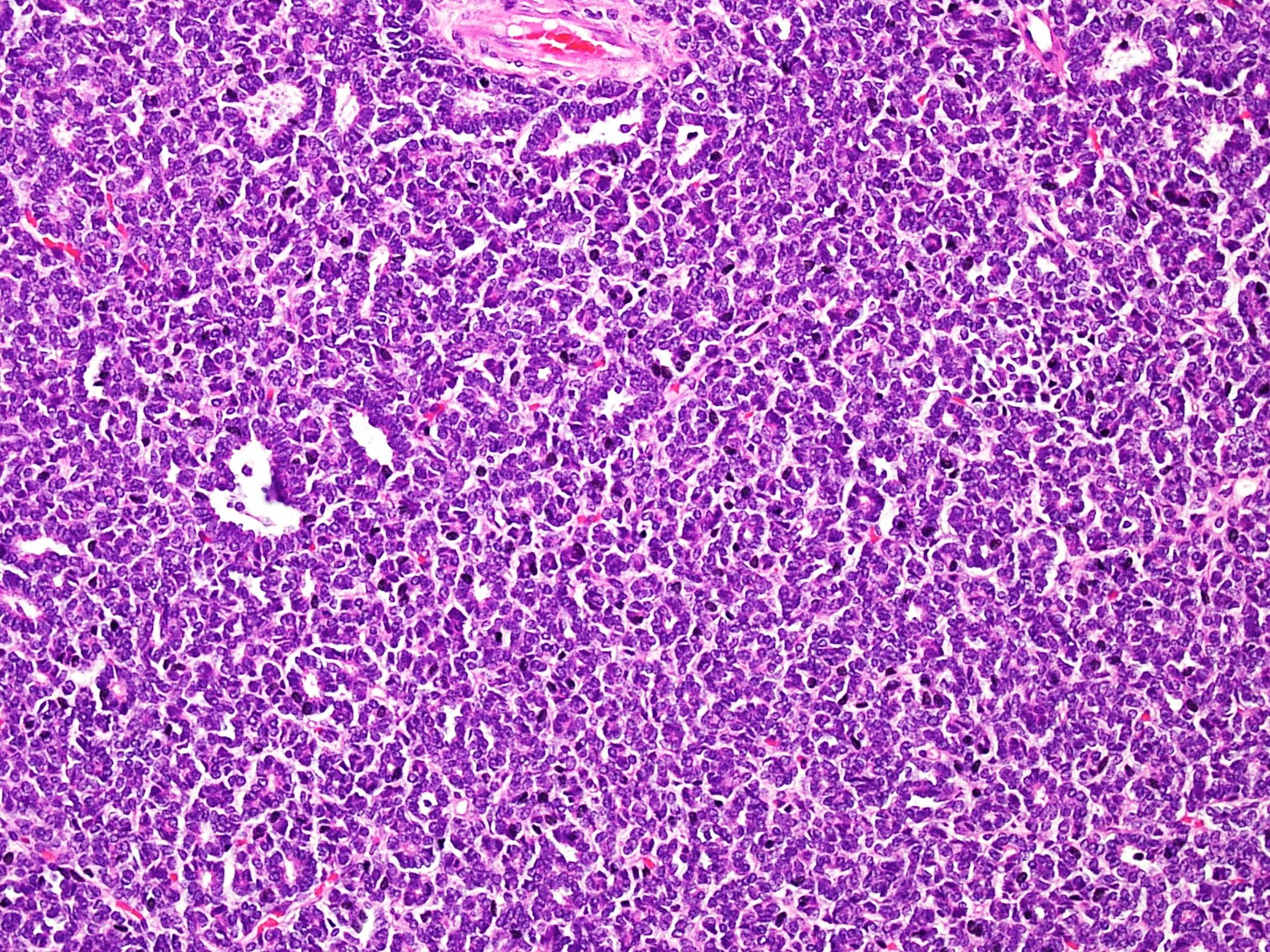
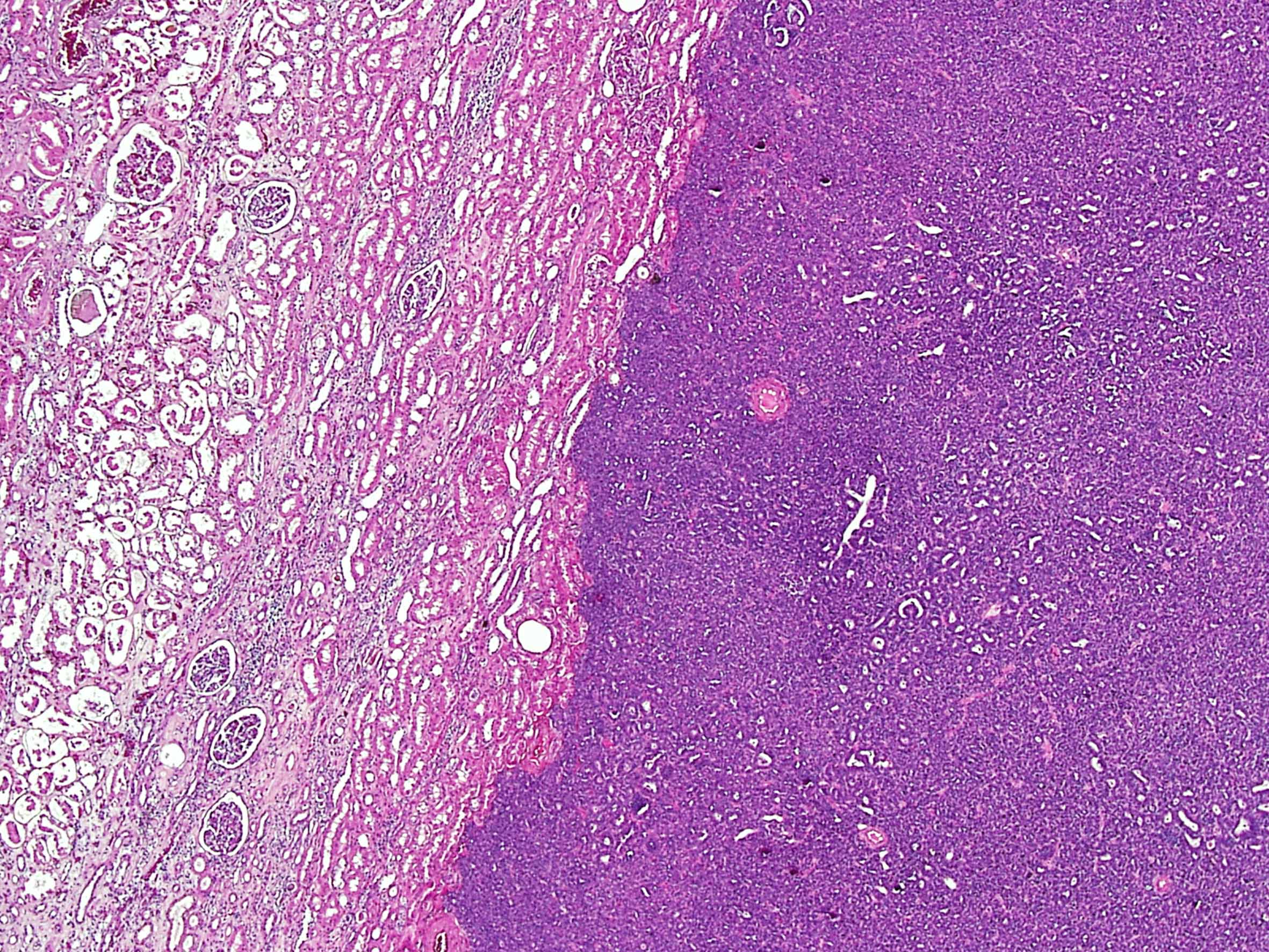
Case description (by case creator):
Metanephric adenoma
