Case ID: 128
Publication date: 13 Dec, 2015
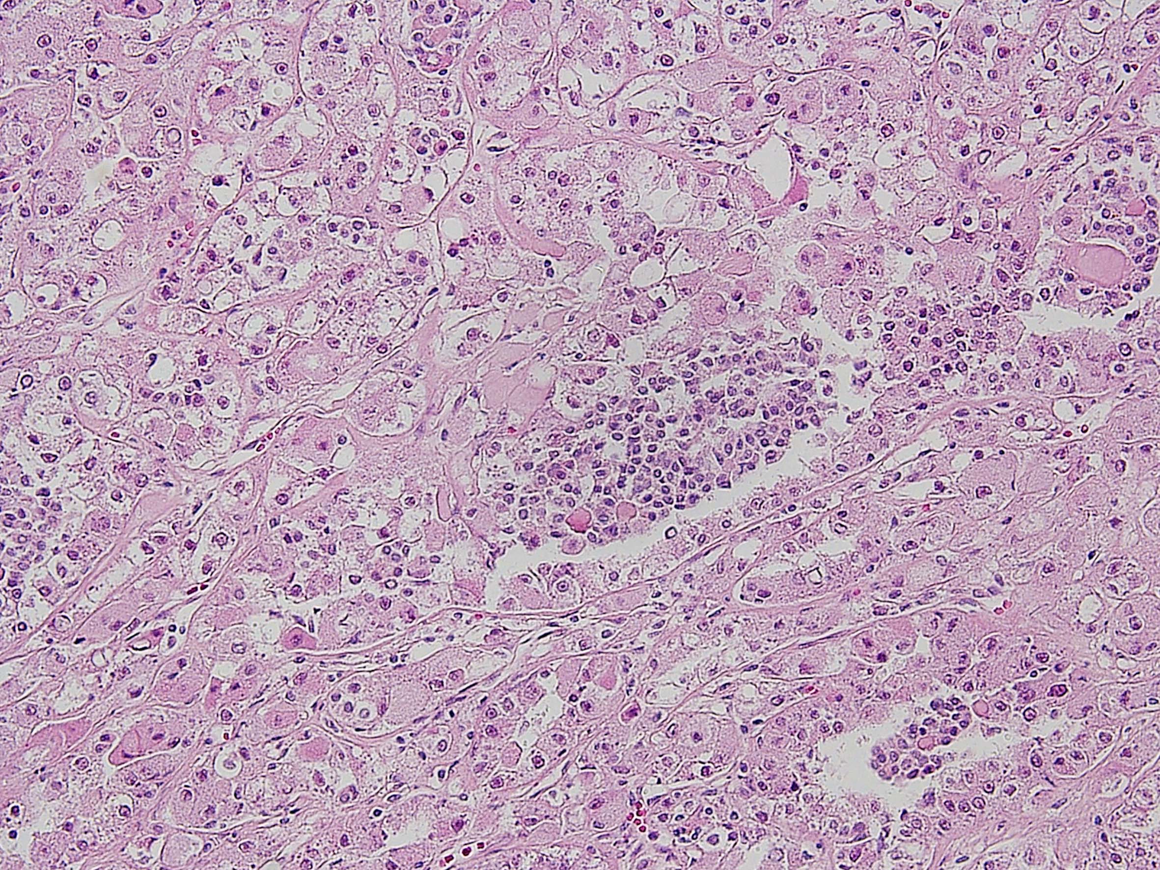
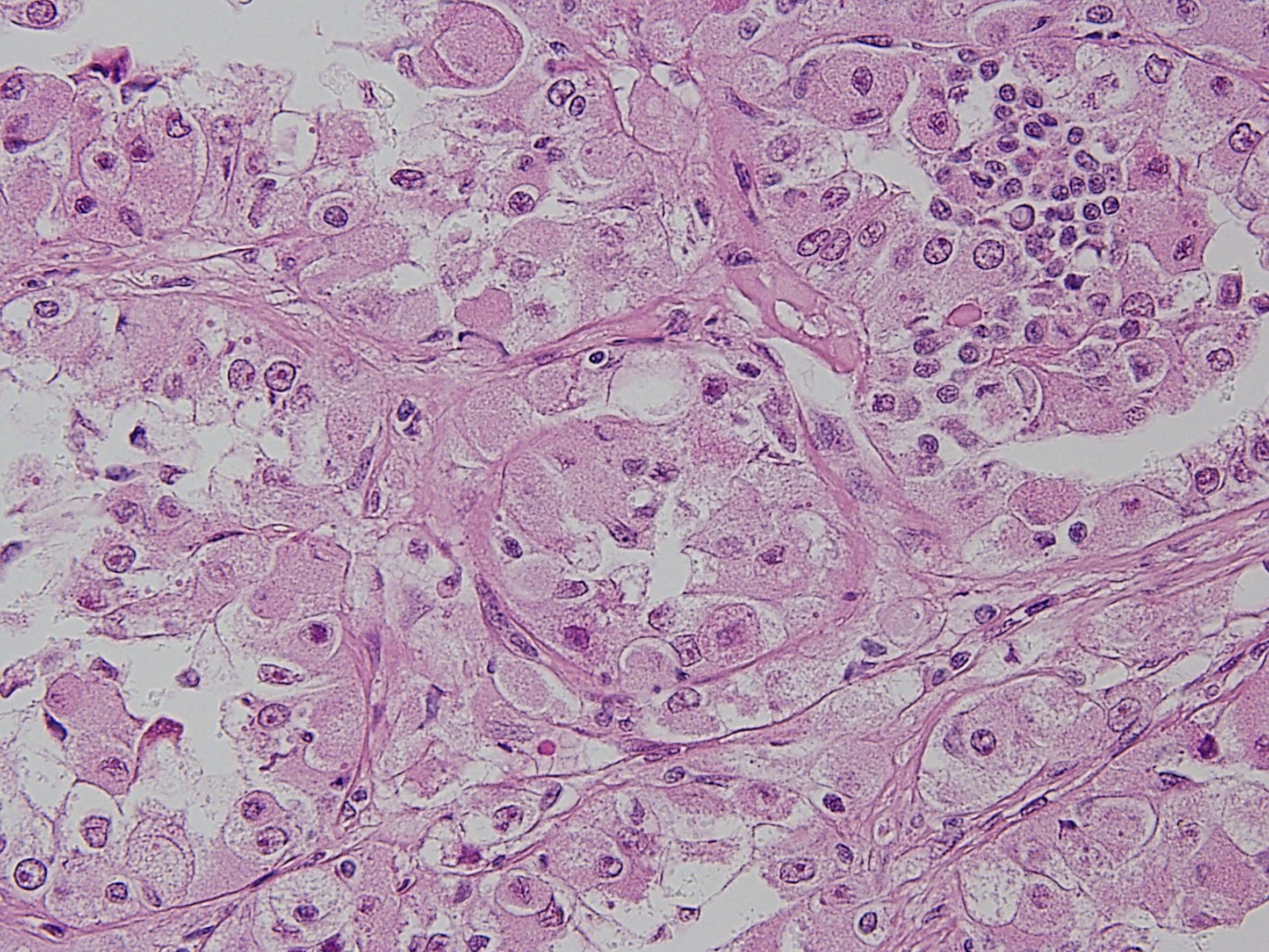
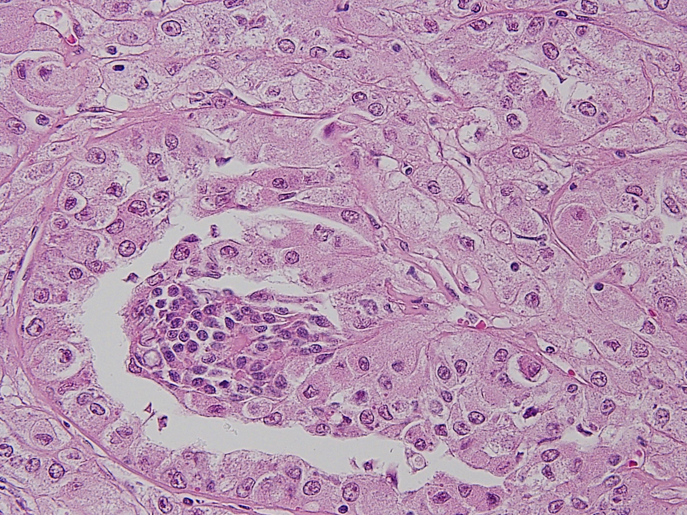
Consensus grade: MiT Family translocation carcinoma
Show diagnosis by expert panel members| User | Diagnosis | Difficulty | Comment |
|---|---|---|---|
| Pathologist 1 | MiT Family translocation carcinoma | Not typical |
difficult |
| Pathologist 2 | MiT Family translocation carcinoma | Typical | |
| Pathologist 3 | MiT Family translocation carcinoma | Not typical | |
| Pathologist 4 | Insufficient tumor for diagnosis | Not typical | |
| Pathologist 5 | Renal cell carcinoma, unclassified | Not typical |
over photo shopped |
| Pathologist 6 | Oncocytic papillary RCC | Not typical | |
| Pathologist 7 | MiT Family translocation carcinoma | Typical |
Prob t(6;11) Would not grade this |
| Pathologist 8 | MiT Family translocation carcinoma | Typical | |
| Pathologist 9 | MiT Family translocation carcinoma | Not typical | |
| Pathologist 10 | Chromophobe RCC | Not typical |
More representative images would be helpful. |
| Pathologist 11 | Other | Not typical | |
| Pathologist 12 | MiT Family translocation carcinoma | Typical | |
| Pathologist 13 | MiT Family translocation carcinoma | Typical |
t(6;11) |
| Pathologist 14 | MiT Family translocation carcinoma | Typical | |
| Pathologist 15 | MiT Family translocation carcinoma | Typical |
t(6,11) translocation RCC |
| Pathologist 16 | MiT Family translocation carcinoma | Typical | |
| Pathologist 17 | MiT Family translocation carcinoma | Typical | |
| Pathologist 18 | MiT Family translocation carcinoma | Typical |
images too dark and not sharp enough |
| Pathologist 19 | MiT Family translocation carcinoma | Typical |
TFEB |
| Pathologist 20 | MiT Family translocation carcinoma | Typical | |
| Pathologist 21 | MiT Family translocation carcinoma | Typical |
t(6;11) translocation |
Case description (by case creator):
MiT family translocation renal cell carcinoma. t(6;11) translocation
Section courtesy of Dr P Argani
