Case ID: 121
Publication date: 13 Dec, 2015
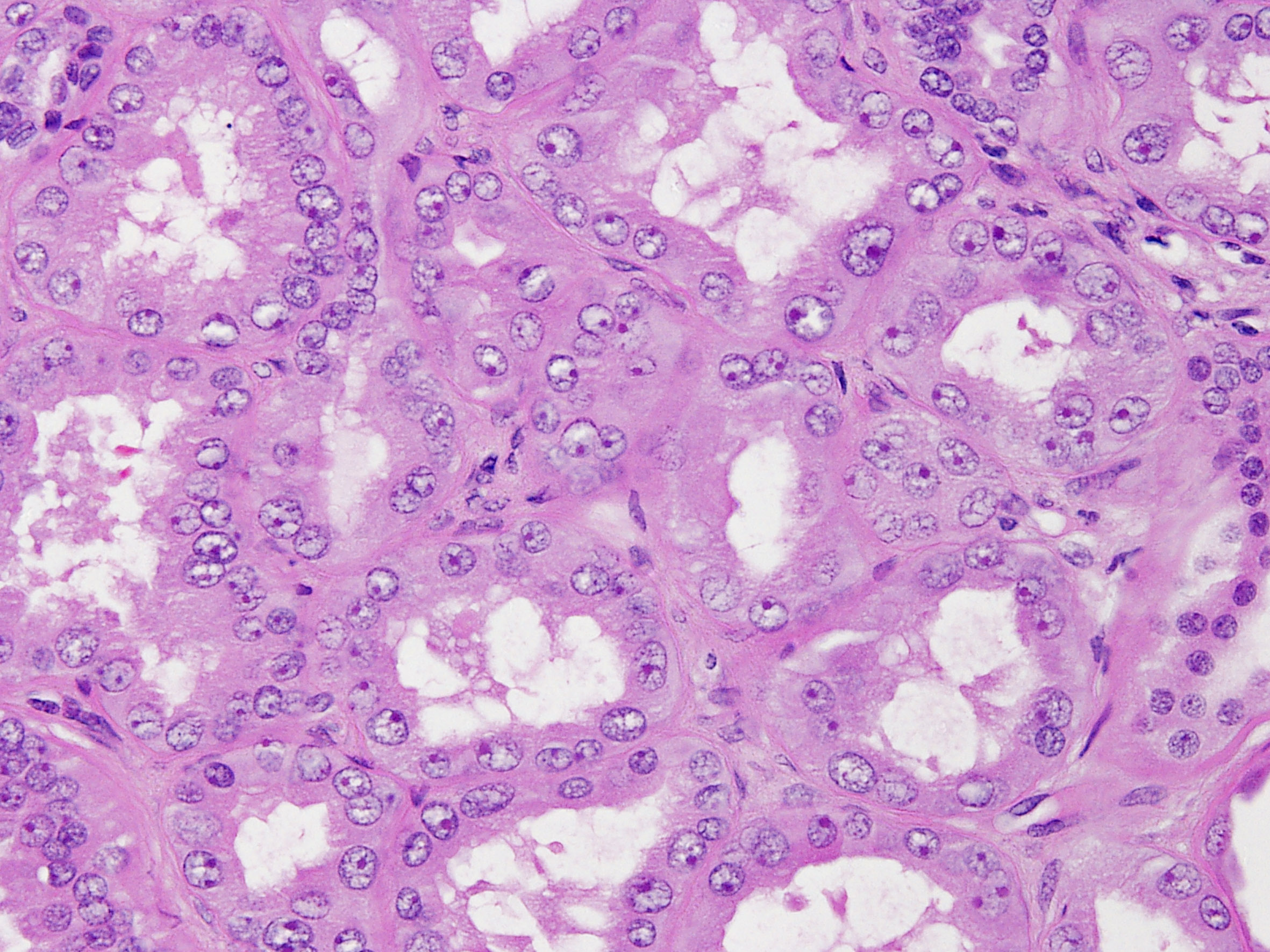
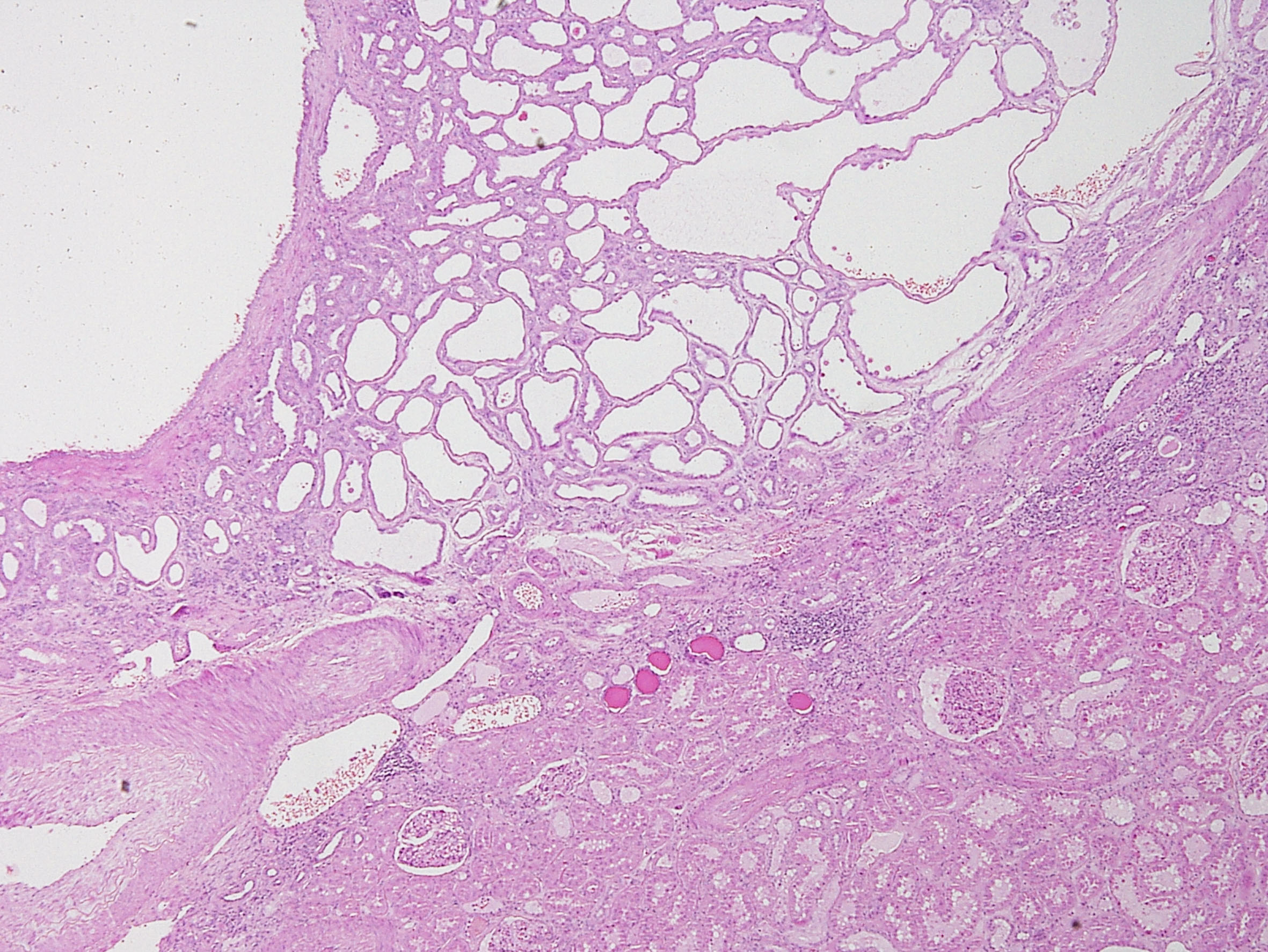
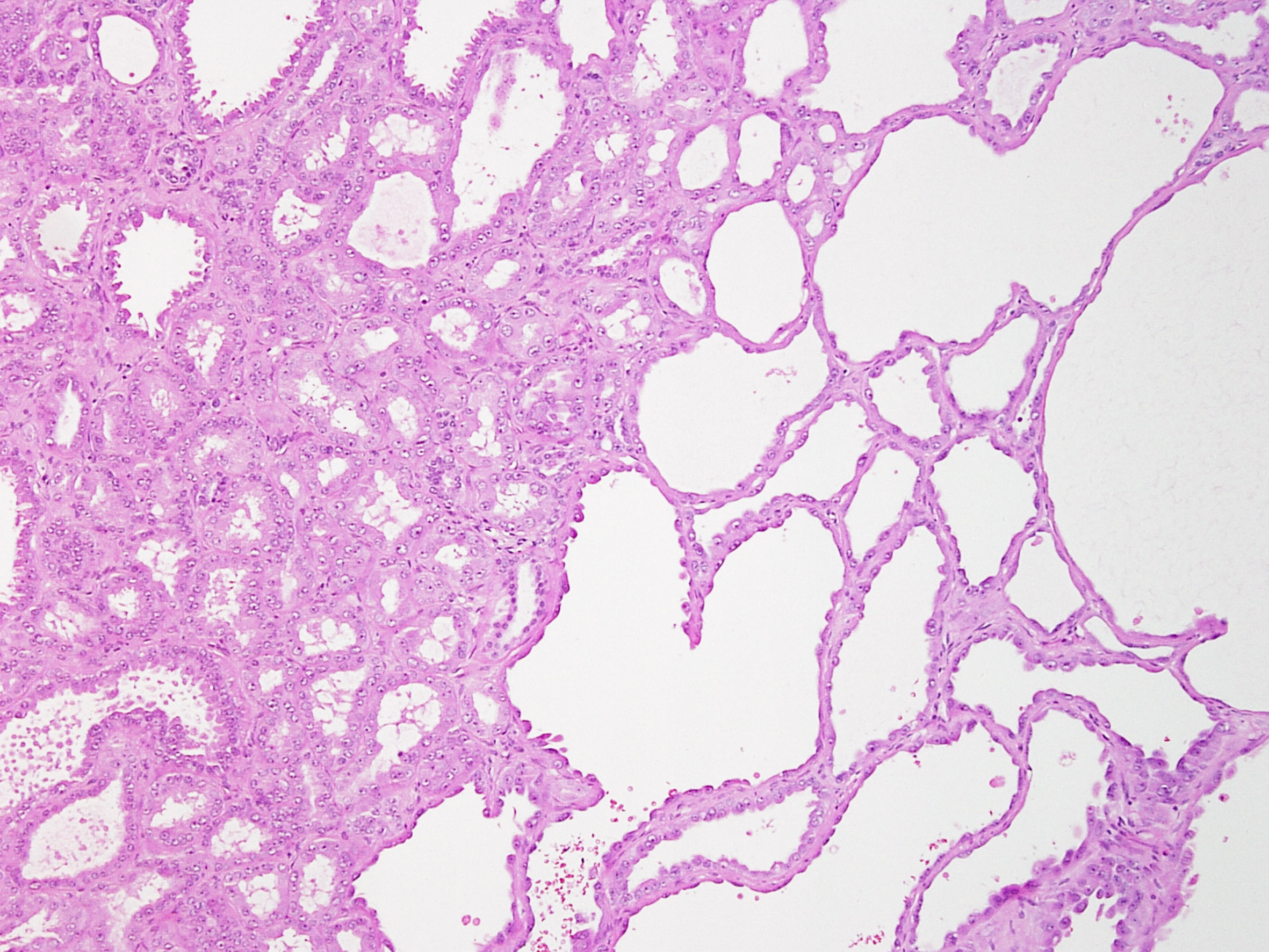
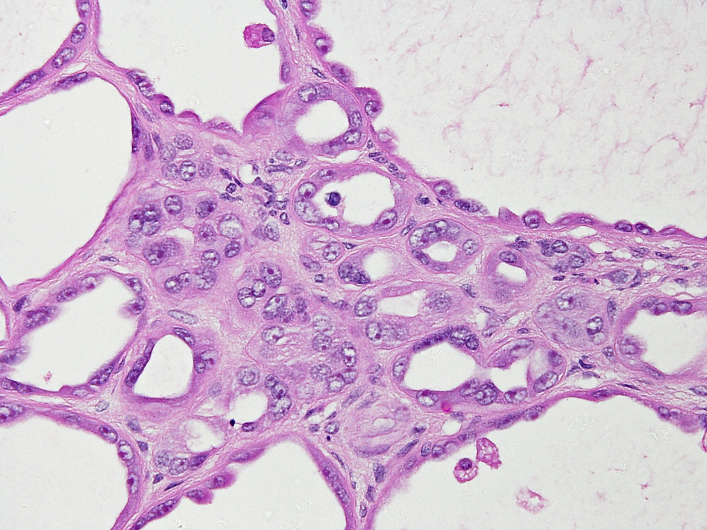
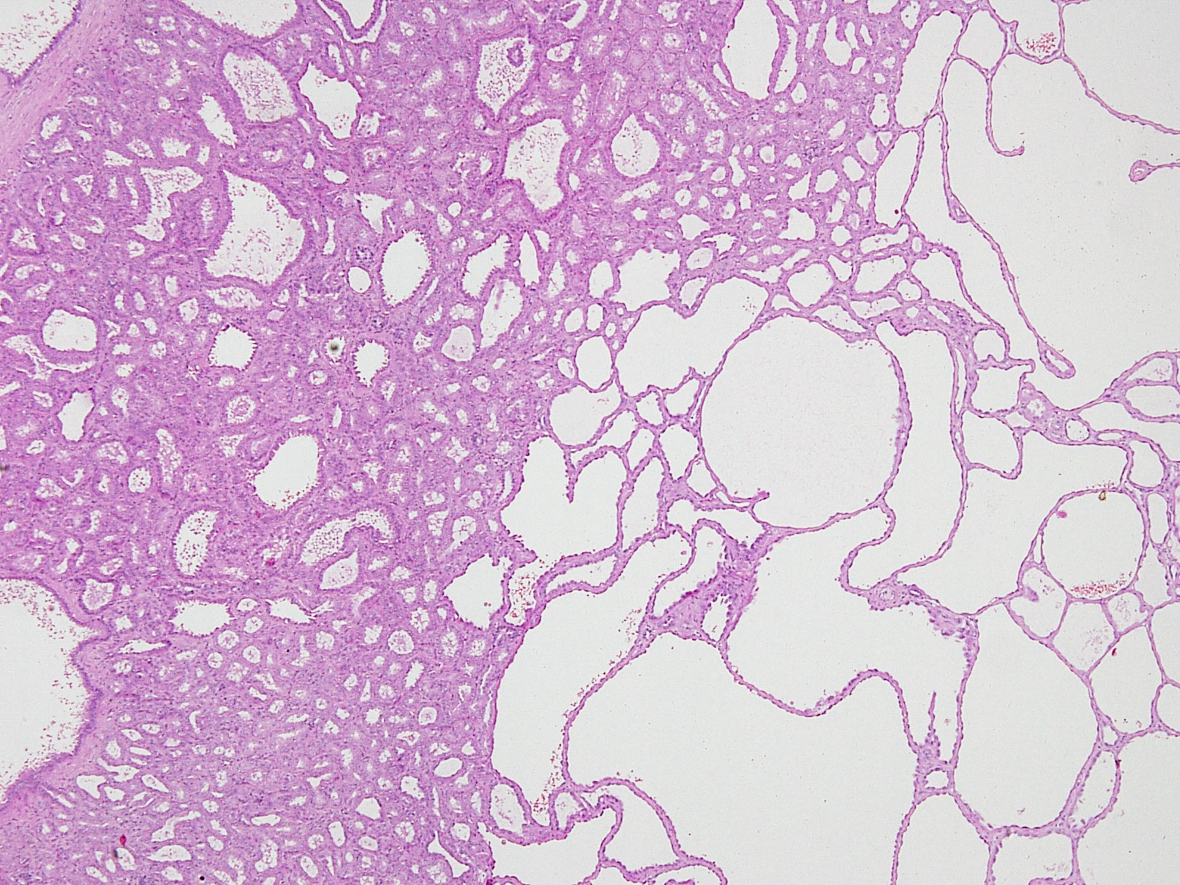
Consensus grade: Tubulocystic RCC
Show diagnosis by expert panel members| User | Diagnosis | Difficulty | Comment |
|---|---|---|---|
| Pathologist 1 | Tubulocystic RCC | Not typical | |
| Pathologist 2 | Tubulocystic RCC | Not typical | |
| Pathologist 3 | Tubulocystic RCC | Not typical | |
| Pathologist 4 | Tubulocystic RCC | Typical | |
| Pathologist 5 | Tubulocystic RCC | Typical | |
| Pathologist 6 | Tubulocystic RCC | Typical | |
| Pathologist 7 | Tubulocystic RCC | Typical | |
| Pathologist 8 | Tubulocystic RCC | Typical | |
| Pathologist 9 | Tubulocystic RCC | Typical | |
| Pathologist 10 | Hereditary leiomyomatosis and RCC-associated RCC | Not typical |
I would support my diagnosis by FH gene analysis...it could also be high grade tubulocystic RCC |
| Pathologist 11 | Tubulocystic RCC | Typical | |
| Pathologist 12 | Tubulocystic RCC | Typical | |
| Pathologist 13 | Tubulocystic RCC | Typical |
but need to rule out HLRCC |
| Pathologist 14 | Tubulocystic RCC | Typical | |
| Pathologist 15 | Other | Not typical |
tubulocystic vs HLRCC |
| Pathologist 16 | Tubulocystic RCC | Typical | |
| Pathologist 17 | Tubulocystic RCC | Typical | |
| Pathologist 18 | Tubulocystic RCC | Typical |
Case description (by case creator):
Tubulocystic renal cell carcinoma
