Case ID: 105
Publication date: 13 Dec, 2015
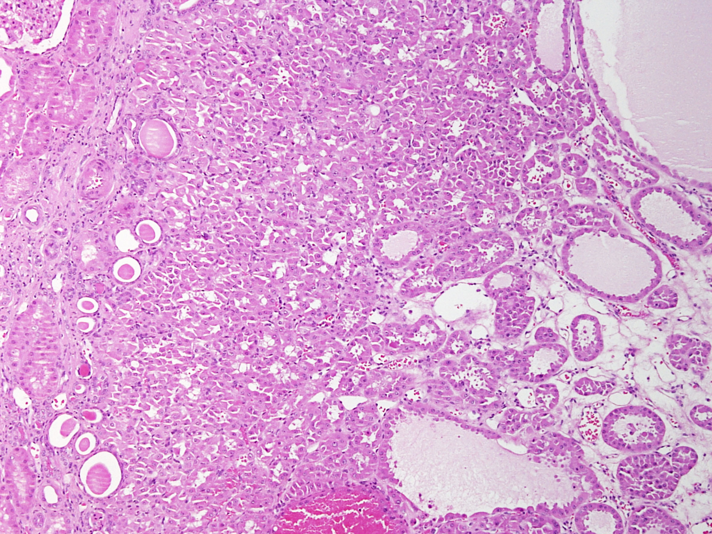
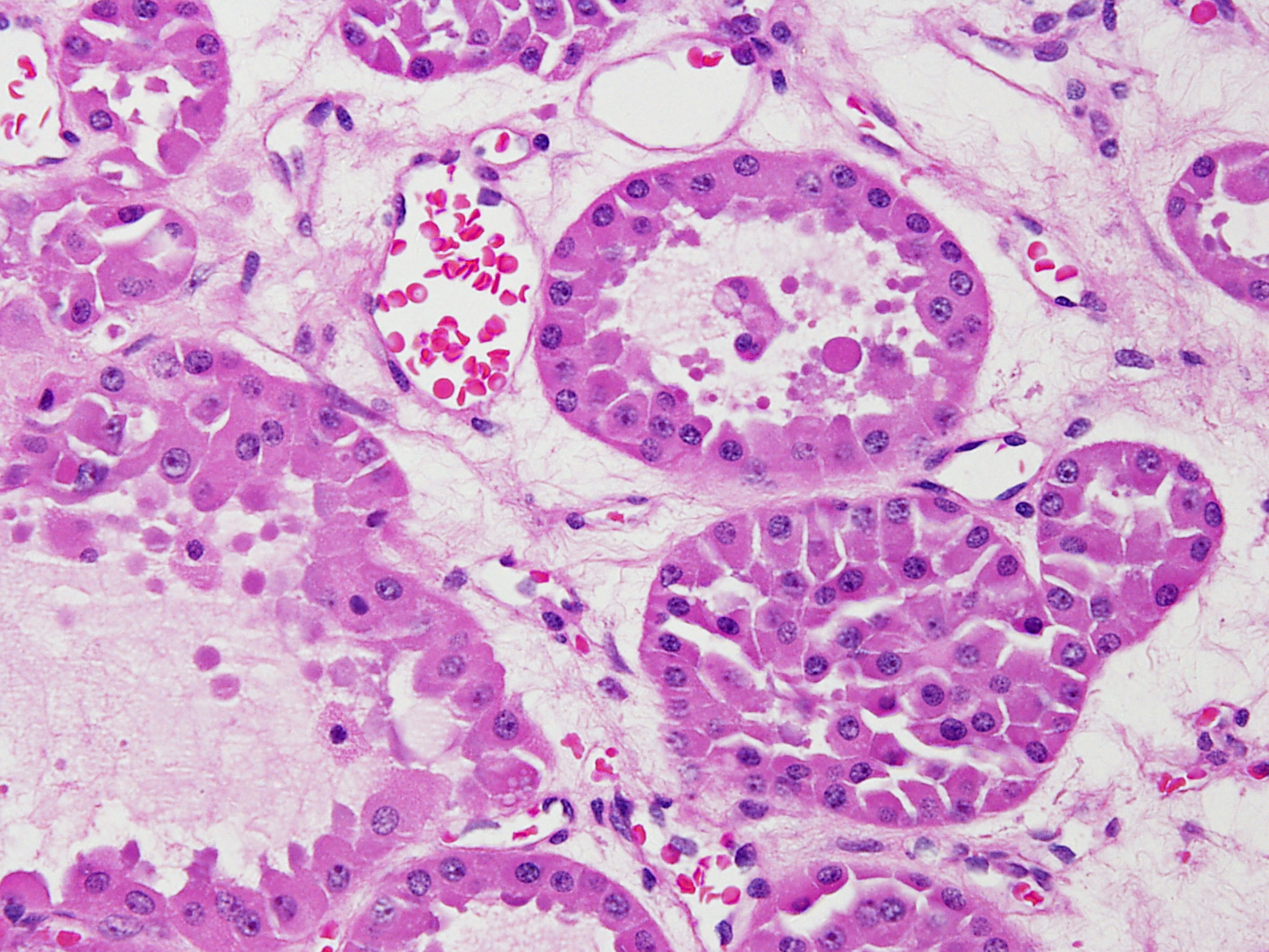
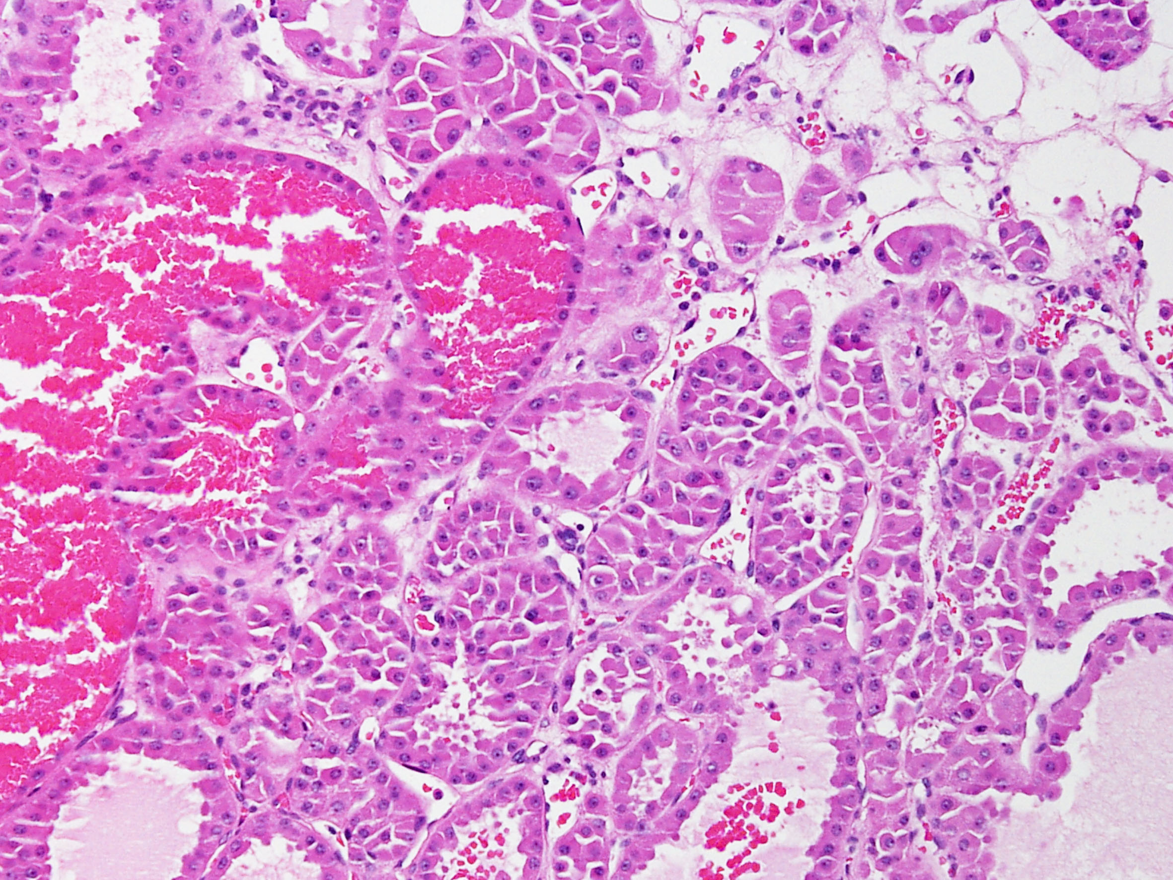
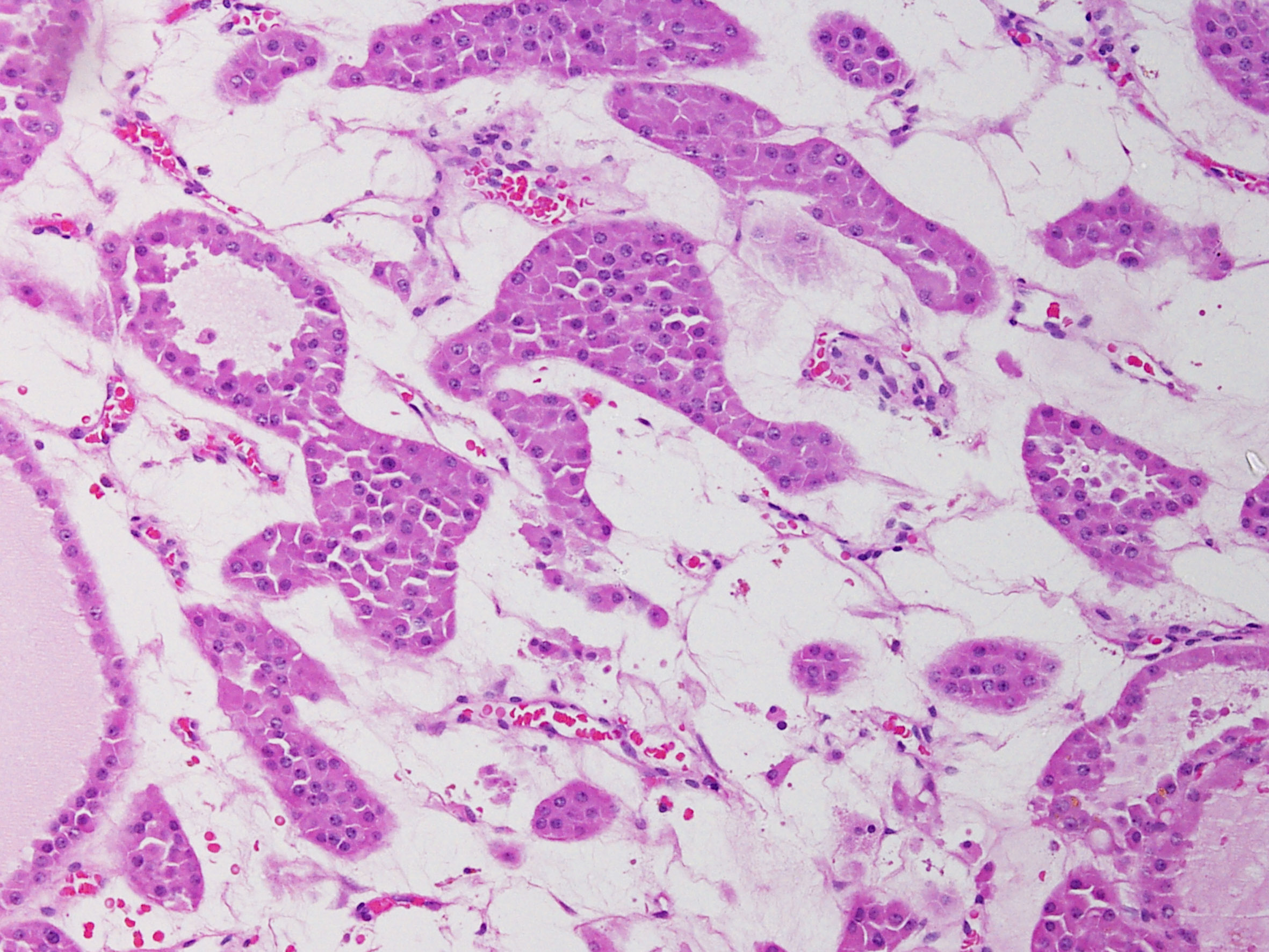
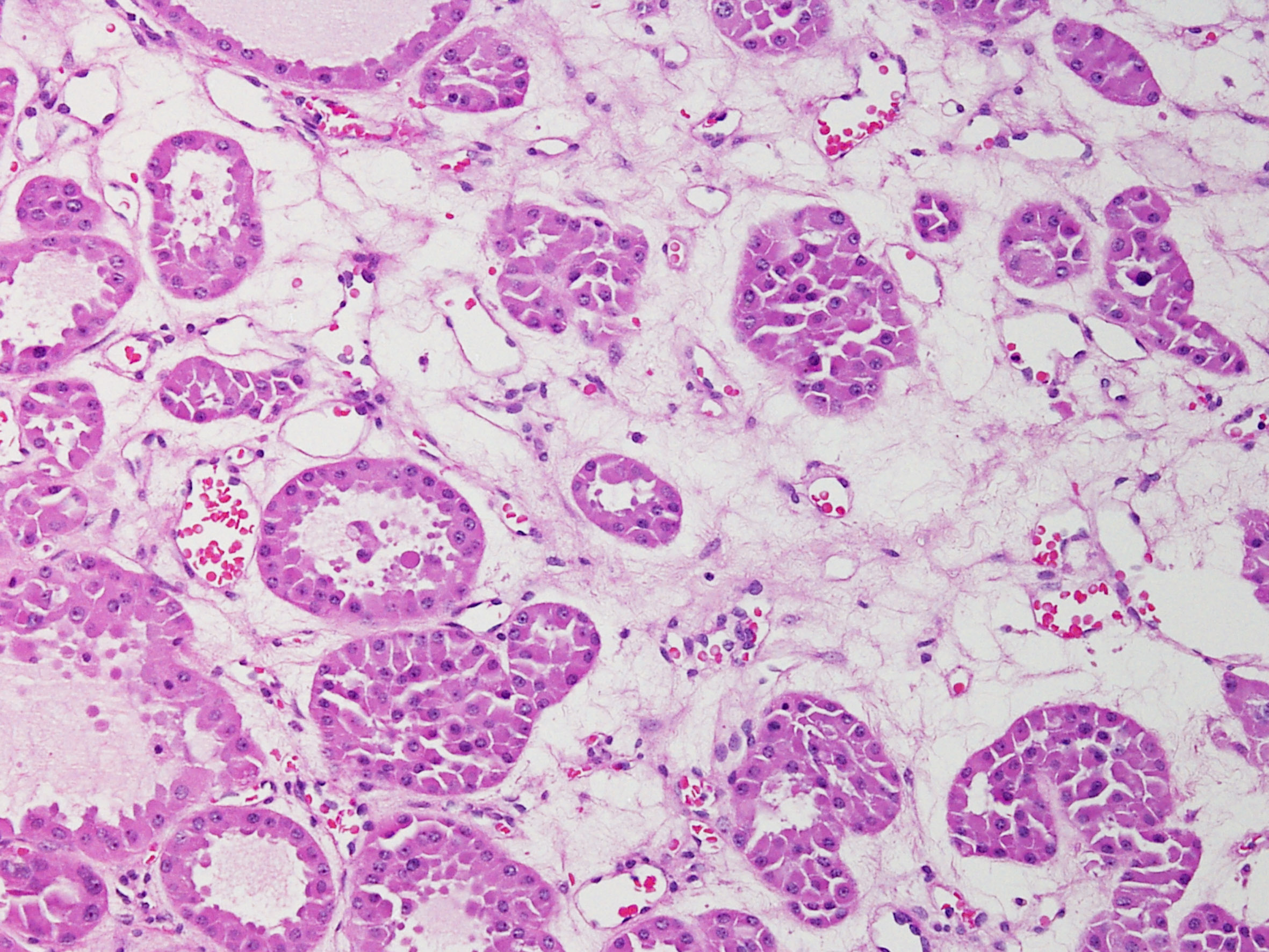
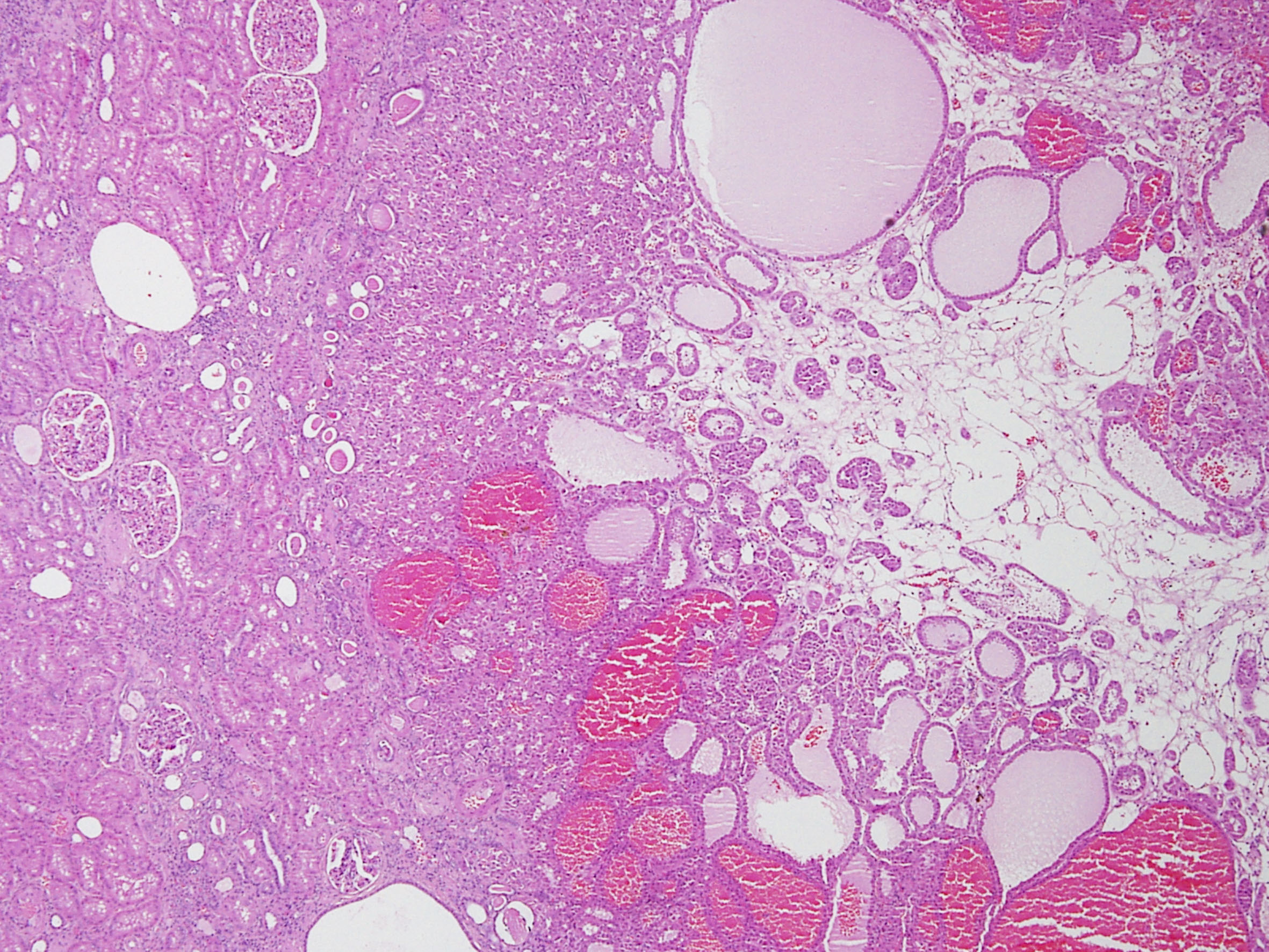
Consensus grade: oncocytoma
Show diagnosis by expert panel members| User | Diagnosis | Difficulty | Comment |
|---|---|---|---|
| Pathologist 1 | oncocytoma | Typical | |
| Pathologist 2 | oncocytoma | Typical | |
| Pathologist 3 | oncocytoma | Typical | |
| Pathologist 4 | oncocytoma | Typical | |
| Pathologist 5 | oncocytoma | Typical | |
| Pathologist 6 | oncocytoma | Typical | |
| Pathologist 7 | oncocytoma | Typical | |
| Pathologist 8 | oncocytoma | Typical | |
| Pathologist 9 | oncocytoma | Not typical | |
| Pathologist 10 | oncocytoma | Typical | |
| Pathologist 11 | oncocytoma | Typical | |
| Pathologist 12 | oncocytoma | Typical | |
| Pathologist 13 | oncocytoma | Typical | |
| Pathologist 14 | oncocytoma | Typical | |
| Pathologist 15 | oncocytoma | Typical | |
| Pathologist 16 | oncocytoma | Typical | |
| Pathologist 17 | oncocytoma | Typical |
Case description (by case creator):
Oncocytoma
