Case of the month
The Case of the Month aims to share interesting and educational genito-urinary pathology cases with the ISUP membership. All ISUP members are cordially invited to submit cases to the case managerĀ (cotm@isupimagebase.com) using the available template (word document). Your submission is highly appreciated!
March 2025
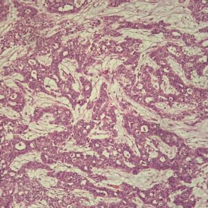
47-year-old male with right axilla soft tissue mass
February 2025
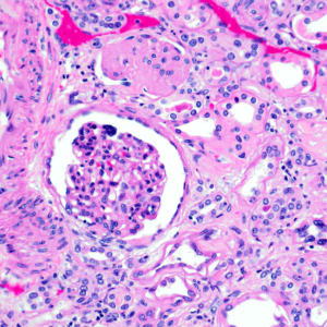
20 year-old woman undergoing bilateral nephrectomies
January 2025
67-year-old man with epididymal mass
December 2024
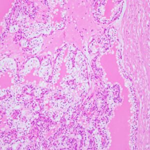
20-year-old woman with right renal mass
November 2024
55 year-old man with renal mass
October 2024
Male patient in the 6th decade with a renal mass of 3 cm in diameter
September 2024
25-year-old male with a right-sided renal mass
August 2024
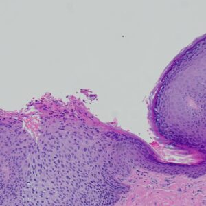
86-year-old male with friable mass on dorsal aspect of penis
July 2024
54 year-old man with end-stage kidney undergoes total nephrectomy
June 2024
72-year-old man with distal penile lesion
